腰椎内固定术后下肢深静脉栓塞成功救治1例
2010-10-21 文章来源:骨科在线 我要说
骨科在线版权所有,如需转载请注明来自本网站
一、一般情况
患者赖××,男,69岁,主因“反复腰痛伴双下肢放射痛30余年,腰椎术后症状复发14年”于2009年9月7日入院。患者30余年前因运动时腰部外伤导致腰痛,同时出现双下肢放射痛(具体情况无法回忆),一直服用“镇痛药物”治疗。后症状逐渐加重,至1995年患者双下肢疼痛加重至无法行走,遂于广州市花都区某医院诊治,诊断为“腰椎间盘突出症”,并行手术治疗(手术节段不详)。术后恢复良好,短期内可以正常工作和生活,但至1995年末患者腰痛并双下肢放射痛症状复发,返回该院就诊,考虑腰椎间盘突出症复发,予以保守治疗,效果欠佳。后患者一直多处就医,长期服用“镇痛药物”。现患者双下肢疼痛、麻木明显,无法下床活动,卧床平睡亦可引发下肢疼痛,只能侧卧屈膝方可入睡,夜间常因疼痛醒来。为进一步诊治特来我院求医。查体:腰部生理弯曲存在,腰椎活动范围:前屈70度,后伸20度,左右侧屈、左右旋转35度。腰背部正中可见长约10cm纵行切口瘢痕。腰椎棘突广泛压痛,下腰椎棘突右侧旁压痛,并向右下肢放射。双下肢大腿前外侧、小腿外侧、足背、足底、足跟感觉减退。右侧髂腰肌、股四头肌肌力5-级,右侧踝背伸肌力4+级,右侧踇背伸肌力3+级,右侧趾跖屈肌力4级,右侧小腿三头肌5—级;左侧髂腰肌、股四头肌肌力5-级,右侧踝背伸肌力5-级,右侧踇背伸肌力4+级,右侧趾跖屈肌力5-级,右侧小腿三头肌5-级。双侧直腿抬高试验阳性。左侧膝腱反射、跟腱反射减弱,双侧髌阵挛、踝阵挛(-),双侧Babinski征(-)。腰椎X光正侧位显示各个腰椎椎体均呈唇状骨质增生,腰椎明显退行性变(见图1)。腰椎MRI检查提示:腰椎间盘术后复查:L4椎体后方棘突呈术后改变,局部软组织层次较模糊。腰骶椎生理曲度变直,各椎体前后缘毛糙、变尖,L2/3~L5/S1椎间隙变窄,横断面示L1/2间盘后缘轻度向后方膨出,L4/5间盘后缘局限向正中突出,并压迫硬膜囊,双侧侧隐窝轻度变窄,硬膜外脂肪消失。L2/3间盘向后方脱出,双侧侧隐窝明显变窄,神经根显示不清,同层面椎管前后径约0.6cm。(见图2)
图1 腰椎正侧位片
(各个腰椎椎体均呈明显唇状骨质增生,腰椎退变明显,终板骨质不平滑,椎间隙变窄并高度不均。)

图2 腰椎MRI扫描
(L4椎体后方棘突呈术后改变,局部软组织层次较模糊。腰骶椎生理曲度变直,各椎体前后缘毛糙、变尖,L2/3~L5/S1椎间隙变窄,横断面示L1/2间盘后缘轻度向后方膨出,L4/5间盘后缘局限向正中突出,并压迫硬膜囊,双侧侧隐窝轻度变窄,硬膜外脂肪消失。L2/3间盘向后方脱出,双侧侧隐窝明显变窄,神经根显示不清,同层面椎管前后径狭窄。)
入院后经询问病史、仔细查体并进行详细辅助检查,结合既往病史,诊断为:1、腰椎间盘突出症(腰1/2~腰4/5);2、腰椎间盘突出症术后;3、2型糖尿病;4、高血压2级;5、轻度贫血;6、慢性肾功能不全;7、左肾结石;8、前列腺增生伴钙化;9、老年性肺气肿;10、脂肪肝;11、高酯血症。
二、诊疗经过
根据患者临床表现,判定引起患者症状的腰椎主要病变节段在腰2/3,因该椎管狭窄以及神经受压非常明显,且病变节段较高,圆锥段神经缓冲余地较小,因此拟行椎管节段减压治疗,为维持稳定性,需行内固定重建腰椎。因患者临床合并症较多,予以经严格手术、麻醉耐受性评估和积极术前准备,排查各系统手术禁忌,以胰岛素调整患者血糖至理想水平。2009年9月24日在全麻下行经后路腰2/3椎管减压、椎间cage植骨融合、椎弓根内固定术(见图3),术中麻醉满意,手术顺利,术中出血约300ml,未输血,外置引流管。术后患者清醒,双下肢活动良好,安返病房。经予以预防感染、激素、脱水等常规治疗后,术前症状大部分缓解,拆线后康复出院。出院时双下肢无肿胀,下地活动无不适。
出院后患者逐渐出现双下肢肿胀,至出院20天时双下肢肿胀明显,电话复诊建议其行双下肢血管超声检查,遂至当地医院检查,结果报告“左下肢静脉血栓形成”。为进一步治疗,转入我院血管外科。查体显示左下肢轻度肿胀,软组织张力轻度增高,触诊双下肢皮温轻微增高,左侧股动脉、腘动脉、足背动脉可触及,右下肢未见明显肿胀,触诊无异常。行双下肢静脉彩超显示:右侧股静脉、股浅静脉、腘静脉、胫后静脉及双侧大隐静脉近心段管径正常,内膜光滑,管腔内透声好,探头加压后管腔消失,CDFI显示管腔内彩色血流充盈;左侧股静脉管径略增宽,管腔内透声较差,见条索状弱回声充填,探头加压后管腔变窄,但不消失,加压后管径0.60cm,管腔内彩色血流信号充盈缺损;左侧股浅静脉、腘静脉、胫后静脉管径略增宽,管腔内透声差,见不均质实性弱回声充填,探头加压后管腔不变窄,管腔内可探及少许断续细窄彩色血流束(见图4)。行肺部血管增强扫描排除肺部血栓可能(见图5)。
明确诊断腰椎内固定术后左下肢深静脉血栓形成,深静脉管腔未完全闭塞,予以低分子肝素(速碧林0.4ml/次,1次/12h)、华法林(2.5mg/日起,根据凝血指标调整剂量)抗凝,以尿激酶溶栓治疗(30wu/次,1次/日)。抗凝溶栓共进行1周,下肢肿胀基本消退,血栓斑块稳定,避免了左下肢深静脉完全性闭塞,予以出院。院外继续着抗血栓袜、口服华法林并定期监测凝血功能。

图3 腰椎内固定术后X线复查
(复查见腰2/3椎弓根螺钉位置良好,椎间cage位置佳,钛棒长度及曲度均适宜。)
图4 双下肢静脉彩超检查
(右侧深静脉未见异常;左侧股静脉管径略增宽,管腔内透声较差,见条索状弱回声充填,探头加压后管腔变窄,但不消失,加压后管径0.60cm,管腔内彩色血流信号充盈缺损;左侧股浅静脉、腘静脉、胫后静脉管径略增宽,管腔内透声差,见不均质实性弱回声充填,探头加压后管腔不变窄,管腔内可探及少许断续细窄彩色血流束)

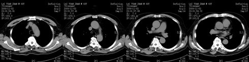
图5 肺血管增强扫描
(肺血管增强扫描见肺部无实变性信号影,连续血管造影增强扫描见肺动脉无充盈缺损)
三、讨论
1.脊柱手术后的深静脉血栓的发生情况
深静脉血栓形成(DVT)是骨科大手术后一种常见并十分严重的并发症。既往对于骨科手术后深静脉血栓形成的研究热点多集中在人工关节置换术,然而,随着近年来有关脊柱手术后深静脉血栓形成并致死的报道也引起了脊柱外科领域对于脊柱术后DVT更大的重视。据文献报道胸腰椎术后深静脉血栓的平均发生率在0.9% ~14%之间,继发的致死性肺栓塞发生率达到1.7%~2.8%[1]。从DVT发生的三要素(静脉淤滞、内膜损伤和高凝状态)来看,多数脊柱手术患者均存在上述三个高危因素。首先,脊柱手术患者卧床时间较长,下肢静脉血流缓慢,对于合并明显神经功能障碍的患者,下肢静脉失去肌肉泵作用和血管舒缩反射,导致血流更加缓慢以及外周静脉扩张;另外,脊柱后路手术常采用俯卧位,长时间俯卧于支架上,易压迫股静脉和髂静脉,而腰椎前路手术中需暴露、挤压、牵拉下腔静脉或髂总静脉,易损伤血管内膜;而且,脊柱手术往往时间较长,肌肉剥离范围较广,软组织损伤和出血均较多,刺激和激活了凝血系统。从脊柱患者的病情特点以及手术情况来看,完全符合了DVT发生所需具备的基本条件。合并神经损伤的脊柱手术患者,术后DVT的发生率较一般患者更高[2],而对于完全性截瘫的患者,术后DVT的发生率甚至可以达到50%[3]。髋膝关节重建术后的DVT基本上发生于住院期间,且大部分出现于手术后早期,而脊柱术后DVT发生的时间特点则稍有不同。有报道显示,近40%的DVT患者于出院后出现症状[6]。因此,对于出院后仍需卧床的脊柱患者应更加注意DVT的发生。
2.脊柱手术后是否需要常规抗凝争议较大
从本例患者的诊治过程来看,除了具备了DVT形成的基本因素,另外还合并存在肥胖、高血压、糖尿病等因素,这些因素也是引起DVT的高危因素[4,5]。那么,是否能够进行预防性抗凝呢?从目前国内外的临床诊疗常规来看,脊柱术后并未常规予以抗凝。随着近年来对脊柱术后深静脉血栓形成的认识不断深入,也有学者提出考虑到VTE的高危性和高死亡率,术后可常规皮下注射低分子肝素。但是反对者提出由于脊柱手术后血栓栓塞发生率低,广泛应用低分子量肝素会扩大治疗、增加经济负担及导致抗凝并发症[7]。目前国内的主流意见是,实施预防性抗凝有增加椎管内血肿的风险,而且一旦出现,后果极其严重,而且脊柱手术后DVT的发生率并不如关节置换手术后高,因此没有必要实施预防性抗凝。从美国的应用情况来看,21%的外科医生使用术后预防性抗凝,21%的医生仅仅对VTE高危患者预防性抗凝,而58%的医生由于担心椎管内血肿从不使用预防性抗凝。美 国 胸 科 医 师 学 会(American college of chest physicians,ACCP)建议的择期脊柱手术的DVT 预防指南为:(1)除早期、持续活动外,对没有其他危险因素的患者无需常规采取血栓预防措施;(2)对于有其他危险因素的患者可采取下列任意一种预防措施:术后单用低剂量普通肝素(UHF),单用低分子量肝素,或单用物理方法如下肢充气加压装置等,对有多个危险因素的患者推荐联合使用肝素和物理方法[8]。在中国国内,未见骨科医师将预防性抗凝列入常规治疗规程的报道,因为国内尚未将脊柱手术列入需要进行预防性抗血栓形成的范畴,2009年中华医学会骨科学分会所制定《预防骨科大手术深静脉血栓形成指南》中所提出“骨科大手术”的概念也仅包含“全髋关节置换术”、“全膝关节置换术”以及“髋部周围手术”,并不包含“脊柱手术” [9]。
3. 应积极预防脊柱手术后下肢深静脉血栓形成
我们认为,鉴于术后深静脉栓塞所带来的致死性肺梗塞的可能性,应当积极预防下肢DVT的发生。在国内,尚无依据可以实施预防性抗凝治疗,且实施预防性抗凝治疗存在较大的风险/收益比,因此,不建议积极进行药物性抗凝治疗,因为一旦出现严重并发症将使得医生处于非常不利的法律境地。但是,我们可以依据《预防骨科大手术深静脉血栓形成指南》从基本预防和物理预防等多个方面着手来预防深静脉血栓。首先,应当尽量减少手术时间与术中组织损伤,减少患者血管压迫时间和凝血激活物的形成。其次,可以采用下肢抗血栓袜、踝泵训练、CPM被动训练、下肢间歇加压泵等多种方式促进静脉回流。最重要的是,使患者早期下地活动,可以显著避免深静脉血栓的发生。
本病例为出院后出现下肢肿胀,至于是出院后深静脉血栓开始形成还是在院期间已经形成不全栓塞,已经无法考证,唯一明确的就是脊柱内固定术后出现深静脉血栓,经及时治疗阻止了进一步栓塞,并预防了肺栓塞可能,成功实施了救治。患者具备多种高危因素,在国内现有条款下无法实施预防性抗凝,术后出现深静脉栓塞也许是一种必然。此类患者是否需要抗凝,目前尚无定论,有待于进一步探讨。
参考文献
1. Rolito SE,Schwartz MC,Neuwirth MG.Deep vein throm-bosis after mojor reconstruction spinal surgery[J]. Spine,1996,21:853~859.
2. Velmahos GC, Kern J, Chan LS, et al. Prevention ofvenous thromboemboembolism after injury: an evidence-based report (part II):analysis of risk factors and evaluation of the role of venacaval filters[J].J TRAUMA,2000,49(1):140-144.
3. 张左伦,刘立成,周东生.脊柱外科手术及并发症学[M].2版.济南:山东科学技术出版社,2002:120-133.
4. Obalum DC, Giwa SO, Adekoya-Cole TO, et al. Deep vein thrombosis: risk factors and prevention in surgical patients[J].West Afr J Med. 2009,28(2):77-82.
5. National Institute Health Consensus Conference. Prevention of venous thrombosis and pulmonary embolism[J].JAMA,1986, 256(4):744.
6. 闫德明,刘拥军,刘红军等. 脊柱手术后静脉血栓栓塞症15例分析[J]. 中国误诊学杂志,2006,6(19):3846-3847.
7. Gerlach R ,Raabe A ,Beck J ,et al.Postoperative nadroparin administration for prophylaxis of thromboembolic events is not associated with an increased risk of hemorrhage after spinal surgery[J].Eur Spine J ,2004,13(1) :9-13.
8. William HG, Heather M ,Martin O ,et al .Proceedings of the Seventh ACCP Conference on Antithrombotic and Thrombolytic Therapy: evidence-b ased guidelines[J].Chest ,2004 ,126(Suppl 3) : 172- 696.
9. 中华医学会骨科学分会.预防骨科大手术深静脉血栓形成指南[J].中国矫形外科杂志,2009,17(2):118-119.



京公网安备11010502051256号