学术园地-典型病例列表页
-
-
【小儿骨科】 “问倒老师系列”之八:这是儿童肘关节脱位吗?
病情概述: Childrenarenotjustsmalladults. ——Dr.MercerRang 学生:1岁4个月的男孩摔伤肘部。我考虑是“肘关节脱位”,对吗? 老师:不对,应该是transphysealfractureofthedistalhumerus/distalhumeralphysealseparat… [详情]
-
-
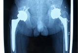
【髋关节】髋关节翻修
病情概述: 患者王××,女,75岁,第一次因股骨颈骨折行全髋关节置换,手术3年后感觉髋关节疼痛不适。主诉:右全髋关节置换术后右下肢疼痛26年。查体:跛行步态,右髋部皮温正常,右髋部压痛明显。诊断:右髋关节置换术后假体松动辅助检查血沉:60mm/h,CRP:20.94mg/… [详情]
-
-
【髋关节】双侧全髋关节置换术后假体松动—同期翻修 VS分期翻修?
病情概述: 患者王某某,37岁,男性,工人,强直性脊柱炎20年,双侧全髋关节置换术后10年,双髋疼痛3年。术前查体左下肢较对侧短缩1cm左髋关节外旋15°、内旋6°,明显受限左髋关节外展27°、内收30°左髋关节屈曲28°、后伸19°,显著受限右髋关节外旋8°、内旋7°… [详情]
-
-
【小儿骨科】“问倒老师系列”之七:髋臼周围截骨术(PAO)
病情概述: 自从Ganz三十年前提出髋臼周围截骨术(PAO)以来,很多研究证实,PAO对改善患者的生活质量、推迟和避免严重OA有明显疗效。有学者称PAO是过去三十年来国际骨科界的重大进展。很荣幸邀请到304医院罗殿中主任分享他对PAO的认识和宝贵经验。 学生:… [详情]
-
-
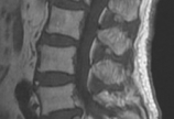
【骨质疏松】导航微创手术治疗骨质疏松性椎体压缩骨折与腰椎滑脱
病情概述: 女性,69岁;腰痛伴左下肢疼痛1年半,外伤后加重1个月。患者1年半前无明显诱因出现下腰痛伴左下肢放射性疼痛,为左侧腰部、臀部、大小腿外侧至左足第二足趾背侧疼痛、麻木,疼痛为间断性出现,严重时有刀割样疼痛感觉,休息后可缓解。伴有间歇… [详情]
-
-
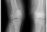
【骨质疏松】洞察秋毫、未雨绸缪——骨质疏松骨折病例分享
病情概述: 女性患者,40岁,体重50Kg。主诉:“右膝关节疼痛伴弹响1年,加重1周。”查体:右膝关节活动尚可,过屈试验(+),过伸试验(+),McMurray试验(+),研磨试验(+),右股四头肌略萎缩。右膝MRI提示:右膝内侧半月板信号不均,增高。病例资料:入… [详情]
-
-
【骨质疏松】骨质疏松骨折病例分享
病情概述: 性别:女年龄:32岁体重:61Kg;右前臂外伤后疼痛伴功能障碍1小时,患者于1小时前进地铁车厢时右前臂不慎被车门夹伤,即刻疼痛伴功能障碍,来我院急诊就诊。拍摄X片示右前臂尺桡骨干双骨折。否认有骨折史,否认有其他系统性疾病,否认检查过骨密度,否认检… [详情]



京公网安备11010502051256号