-
-
陈宏 #3该切口应该是hueter改良切口
应用改良的髋关节前侧入路治疗股骨近端骨不连
2014-04-03 文章来源:上海市第六人民医院骨科 张长青教授 我要说
股骨近端骨不连最常见于移位的股骨颈骨折,由于股骨颈局部血液供应的特殊性,骨折后骨不连的发生率可高达10%-30%。股骨粗隆间骨折尽管断端血供丰富,但如果内固定强度不够,或骨折端粉碎严重,偶尔也会发生骨不连(1%-2%)。股骨近端骨不连一旦发生,会导致明显的髋部疼痛及功能障碍,从而严重影响患肢功能,因此对青壮年患者,均需要进行骨折翻修术。
在以往对该手术的临床报道中,多采用髋关节外侧入路(Watson-Jones入路),即沿臀中肌和阔筋膜张肌之间的肌间隙显露股骨近端。该入路能在同一切口内完成骨折端的复位及内固定,但对骨折端的显露及操作均较为困难,有时仅能通过对骨折端的触摸来判断骨折复位情况。采用髋关节前侧入路尽管在内固定时需要另作切口,但对骨折端显露清晰,且可直视下方便地对骨折端进行各种处理,而有移位的骨不连患者通常难以从外侧入路获得良好的复位,因此我们推荐采用髋关节前侧入路治疗股骨近端骨不连。
传统的髋关节前侧入路(Smith-Peterson入路)起自髂嵴中部,沿髂嵴外侧向前至髂前上棘,然后向远端延伸,深层沿阔筋膜张肌和缝匠肌间隙分离,自髋臼上方切断股直肌指头并翻转,显露髋关节囊(图1A,B)。

图1 传统的SP入路
A, 皮肤切口;B,沿缝匠肌和阔筋膜张肌之间入路
这种切口创面大,手术剥离广泛,不利于患者的术后恢复。因此,我们SP切口的特点设计一直切口,即仅使用传统切口的远侧部分,自髂前上棘内侧及下方各1.5cm处向远端做一10cm纵切口(图2),浅层沿阔筋膜张肌和缝匠肌之间钝性分离,深层间隙位于臀中肌和股直肌之间(图3A)。治疗股骨粗隆间骨折时仅需将股直肌牵向内侧而无需切断,股骨颈骨折可根据术野显露情况决定是否切断股直肌(图3B,C)。随后在股骨颈上、下缘及股骨大粗隆外侧各放置一把Hoffman拉钩,显露股骨近端的前方(图4)。该入路既保留了髋关节前侧入路显露充分的优点,同时又减少了对髋部肌肉组织的破坏,有利于患者的术后康复。同时,稍偏内的切口也有助于降低股前外侧皮神经损伤的机率。

图2 改良SP入路的皮肤切口

图3 股骨近端的深层显露

A,沿阔筋膜张肌和缝匠肌间隙分离;B,显露股直肌;C,将股直肌牵向内侧

图4 三把Hoffman拉钩显露股骨近端
A, 股骨颈骨折;B,粗隆间骨折
骨折端充分显露后,可直视下清理骨折端至新鲜断面,通过牵引、内旋下肢间接复位或撬拨骨折端直接复位,随后多枚克氏针临时固定,透视下见骨折端复位满意后进行最终的内固定,股骨颈骨折可采用多枚平行拉力螺钉或锁定钢板,同时行吻合血管的游离腓骨移植(图5),粗隆间骨折可根据其骨折类型选用锁定钢板或髓内钉,通常无需植骨(图6)。

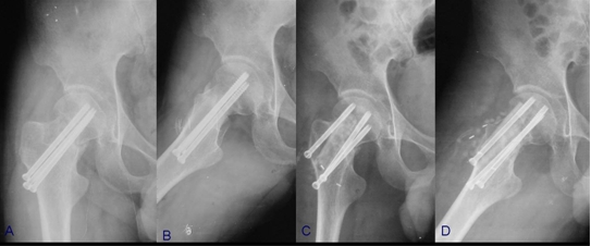
图5 股骨颈骨不连病例
A,B,患者术前髋部正侧位片示股骨颈骨不连;C,D,患者术后髋部正侧位

图6 股骨粗隆间骨不连病例
A, 患者术前X线(内固定术后3月);B,采用前侧入路髓内钉翻修术后
改良的髋关节前侧入路具有创伤小、骨折端显露清晰及手术操作方便等优点,因此非常适用于股骨近端骨不连患者的翻修手术。
| 请登录|注册后发表评论! |
-
-
wangjun #2不错
-
-
一把老刀 #1张老师的讲解清晰,受益匪浅



京公网安备11010502051256号