-
-
1234567890aaa #1这名患者股骨头没有损伤吗?出现后遗症没有?股骨头没有坏死吗?
发表于:2021-10-18 15:10:25 IP:115.60.108.75
2017-04-05 文章来源:四川大学华西医院骨科创伤中心 作者:方 跃 我要说
双柱骨折
基本资料: 患者,女性,45岁,车祸伤致左髋疼痛伴活动障碍5+天。患者行走时被小轿车撞伤,小轿车逃逸,被同村村民送来我院。
查体:神清合作,左髋疼痛,不能活动,足背动脉可扪及,踝关节及足趾活动正常。
诊断:左髋臼双柱骨折。

术前CT
入院后行左股骨髁上牵引,积极术前准备,做CT,证实双柱骨折的诊断。

术前三维CT
做三维重建,进一步为手术做术前详细的计划,决定前方入路。

术后X线片
这是术后的X线片,患侧正位、髂骨斜位、闭孔斜位。



术后三维重建
术后三维重建前面观完美!





术后三维重建后面观,发现后壁的骨折有明显的移位,后脱位的风险增加,我们决定!
3天后
3天后,行后路切开复位内固定术。

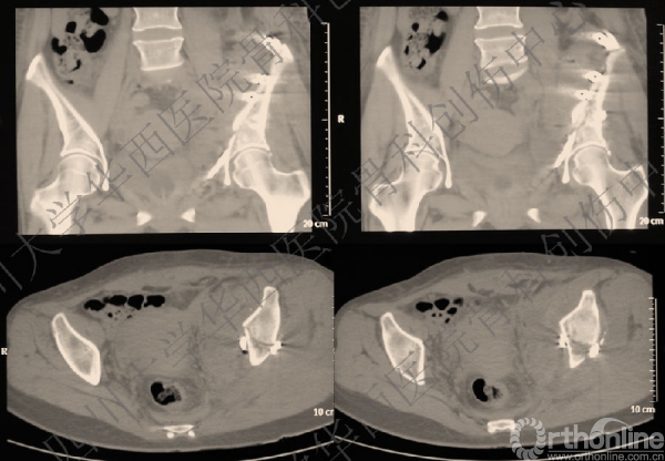
术后CT
术后冠状位及横切面CT扫描,负重区解剖复位

术后CT
术后CT也证实骨盆形态正常。

3年后随访
3年后随访满意。

CT及三维重建
CT及三维重建也很满意。


功能位片患者非常满意,医生能不满意吗?

| 请登录|注册后发表评论! |
骨科在线 北京经纬在线网络科技有限公司
京ICP备15001394号-2
京公网安备11010502051256号
地址:北京市朝阳区朝阳门北大街乙12号1号楼8层08公寓H
联系电话:010-85615836
Email:orth@orthonline.com.cn