骨样骨瘤的治疗:从巨创到微创,从微创到无创的演变
2017-04-25 文章来源:上海交通大学附属第一人民医院骨科 华莹奇 蔡郑东 我要说
骨样骨瘤是较常见的良性骨肿瘤,好发与年轻人,以夜间痛的症状为主以及典型骨皮质内“瘤巢”样影像学为表现,是一种常需要外科干预的良性骨肿瘤。自1935年Jaffe首次命名本疾病以来,随着医学的进步和骨肿瘤外科学及病理学的进展,骨样骨瘤的治疗方式也经历了理念与方法的演变。
巨创手术时代
著名的骨病理学家Henry Jaffe于1935年首次描述了5例当时无法明确病理分类的骨肿瘤,具有以下特点:1.年轻患者11-22岁;2.局部疼痛,尤其夜间;3病灶起源于松质骨;4.X光显示圆形,较小,局限于骨内的病灶;5.术前诊断为感染,术中却未发现脓液,术后症状消失,无复发,他将这类良性骨肿瘤命名为骨样骨瘤[1]。骨样骨瘤有一定的自限性,口服NSAID类药物可缓解甚至达到治愈。然而,当时对于症状明显的骨样骨瘤的治疗方法仍以开放手术切除瘤巢为主[2],由于手术导致的骨缺损还往往需要辅助植骨和内植物固定[3]术后症状消失,肿瘤无复发,一般可获得治愈。
微创时代
随着人们对本疾病生物学性质和临床特点认识的深入,逐渐发现骨样骨瘤进展缓慢、无侵袭性、局部复发率低,于是人们开始尝试采用创伤较小的方式进行治疗。最广泛应用的方法即利用CT引导下经皮穿刺至瘤巢,然后采取不同的方法处理瘤巢[4],环钻或磨钻磨削手术是较早期的方法[5,6](图1)。

图1. 经皮穿刺环钻磨削术
随着科技的发展,人们开始应用各种物理的方法,在CT引导下进行瘤巢消融术,例如激光、射频、微波、冷冻消融等。热消融术应用较广泛,上世纪90年代起,人们开始尝试CT引导下利用射频电极头穿过空心环钻的通道直达瘤巢,然后进行消融,早期的报道显示了很好的安全性和疗效[7,8]。因为这种技术相对简便、安全、有效,逐渐成为治疗骨样骨瘤最主要的方法。我国学者最早于2008年报道了射频消融治疗骨样骨瘤,治疗有效率达93%[9]。我国学者还使用国产的微波仪,在CT引导下经皮穿刺微波消融术治疗骨样骨瘤,也取得了良好的临床疗效[10]。
射频消融的使用最为广泛,此外,Gangi等人报道了114例CT引导下激光消融治疗骨样骨瘤,术后112例患者VAS评分降至0,6例患者随访中出现疼痛症状的复发,经过再次激光消融后症状消失,疗效较确切[11]。Whitmore等人报道了29例冷冻消融治疗的骨样骨瘤患者,术后即刻、近期、远期疗效均达到90%以上,轻微并发症率21%,无严重并发症[12]。
目前,CT引导下的各种微创治疗手段已成为骨样骨瘤的主要治疗手段,有的仅需要在局部麻醉下进行,甚至不需住院,在日间病房或门诊即可完成,大大缩短了住院时间,术后康复快,给病人减轻了痛苦和医疗负担。
无创治疗时代
外科学总是向着创伤更小的方向发展,近年来磁共振引导下聚焦超声(Magnetic resonance-guided focused ultrasound, MRgFUS)逐渐发展成熟,为许多疾病提供了无创治疗的可能。MRgFUS的优势为治疗全程的实时磁共振动态成像和动态温度监测,提高了其安全性和有效性[13]。在美国FDA批准MRgFUS的适应症中,子宫肌瘤的应用最为广泛,子宫肌瘤的治愈率与微创手术及开放手术接近,然而大大减少了手术创伤与住院时间,尤其对子宫及周围器官损伤小,从而把对生育的影响降到最低[14]。
MRgFUS另一个应用广泛的适应症是骨转移瘤的姑息治疗,Liberman等报道了MRgFUS治疗31例骨转移瘤的多中心临床研究,3月随访有效率达到72%,VAS评分从5.9降至1.8[15]。我国学者于2015年也完成了MRgFUS治疗骨转移瘤的临床研究,结果显示治疗后的疼痛评分显著下降,止疼药用量也显著减少,生活质量显著提高[16]。
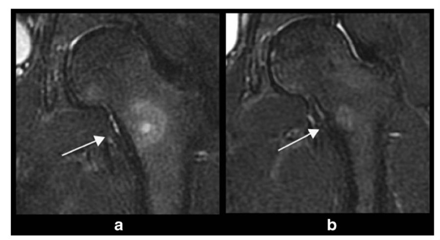
因为骨样骨瘤病灶小、局限,适合热消融治疗的特点,Geiger等将MRgFUS应用于骨样骨瘤的治疗,该项多中心临床研究报道了29例非脊柱骨样骨瘤病例,临床完全缓解率达到90%,10%的患者达到部分缓解,治疗前后VAS评分显著下降[17]。Masciocchi等对比了MRgFUS与RFA的疗效,发现两种治疗方法的临床完全缓解率接近(MRgFUS 94%与RFA100%),证明了无创的超声消融可以获得确切的疗效[18](图2)。

图2. 磁共振引导聚焦超声消融骨样骨瘤病灶
人们对疾病治疗的追求总是希望疗效确切,创伤小,时间短。通过骨样骨瘤的治疗模式从巨创到微创,从微创到无创的演变,我们可以看到,有两大因素推进着治疗的进步:1.人们对肿瘤的生物学和临床特性了解深入;2.科学新技术的发展及其在医学领域的应用。如今,骨肿瘤领域大部分疾病都需要外科的干预,无论是药物、放疗还是基因免疫等均未见突破性的进展,但是这不妨碍我们始终追求技术和理念的不断革新。我们欣喜的看到MRgFUs技术已经开使用于其他一些骨与软组织肿瘤的治疗,Ghanouni等人报道了MRgFUS治疗15例硬纤维瘤的疗效,术后肿瘤平均体积下降了63%,疼痛评分显著下降[19]。因此我们有理由相信,在不久的将来,将会有更多微创甚至无创的治疗手段应用与骨肿瘤,我们应秉持信念,不断向这个目标努力。
References:
[9]. 蔡郑东等,CT引导下经皮穿刺骨样骨瘤射频消融术. 中华骨科杂志, 2008. 28(2): 第122-126页.
[10]. 纪经涛等,CT引导下经皮穿刺微波热消融术治疗髋部骨样骨瘤. 中华骨科杂志, 2010. 30(10): 第935-940页.
[16]. 顾坚骏等,磁共振引导聚焦超声术治疗疼痛性转移性骨肿瘤的初步临床观察. 中华医学杂志, 2015. 95(41): 第3328-3332页.



京公网安备11010502051256号