脊柱侧凸暑假班:浅谈22个需要知晓的问题
2017-07-21 文章来源:中南大学湘雅二医院脊柱外科 王孝宾 我要说
编者按:
随着暑期的到来,全国各地脊柱外科中心迎来了脊柱侧凸患者诊治高峰。作为复杂脊柱疾患,脊柱侧凸的治疗不但需要医者有丰富的临床经验和专业的团队支撑,而且也需要患者和家属对脊柱畸形的知识有一定的了解,从而在制定矫形策略时医患能够获得有效沟通和理解。同时,本文撰写的脊柱侧凸临床基础知识对骨科及相关领域的医师也会有一定的帮助。
中南大学湘雅二医院脊柱外科
骨科在线脊柱专业副主编
王 冰
1. 什么是脊柱侧凸?
从后面观察背部,正常人的脊柱应该是一条“直线”,如果出现向一侧的偏移或者弯曲,就称为脊柱侧凸(脊柱侧弯)。从侧面观察,正常人的脊柱包括4个生理曲线:颈椎前凸,胸椎后凸,腰椎前凸和骶尾椎后凸。如果局部或者整体出现超过生理范围的后凸角度,称为脊柱后凸,也就是常说的“驼背”。如果胸椎后凸不够,或者腰椎前凸减小,出现低于正常生理弧度的情况,则称为平背综合征。

2. 脊柱侧凸有哪些情况?
脊柱侧凸的诊断有十余种,包括特发性,先天性,神经源性,肌源性,结缔组织病和神经纤维瘤病等。其中儿童最常见的为先天性和特发性脊柱侧凸,特发性脊柱侧凸多见于青少年,而成人最常见的是由于退变引起的脊柱畸形。作为最常见一类脊柱畸形, 10°以上青少年特发性脊柱侧凸患者约占2%~3%,20°以上需要支具治疗的患者约占5‰,40°以上可能需要外科手术的患者约占1‰。

3. 青少年特发性脊柱侧凸的病因是什么?
目前对青少年特发性脊柱侧凸的致病原因还不完全清楚,现有的研究结果认为是基因相关的神经-内分泌代谢-生长发育多重因素异常是引起脊柱侧凸可能的病因。
4.脊柱侧凸对儿童(9岁以前)的影响?
对脊柱和胸廓的影响:5岁以前儿童脊柱(胸1-骶骨)快速生长,每年的生长潜力超过2 cm,5到10岁每年的生长潜力约是0.9 cm,10岁以后的青春期每年生长潜力约1.8 cm。因此5岁以前发生的脊柱畸形对躯干和胸廓的影响最大,会导致严重的胸廓畸形,明显降低肺容量。
对肺的影响:婴儿出生以后肺迅速发育,肺泡数量逐渐增加,到5岁时肺泡数目达到成人的80%,8岁时基本达到成人水平。8岁以前发生的脊柱侧凸,会因胸廓畸形而导致肺泡数目减少,最终导致肺的通气面积和氧气的弥散面积减小,引起限制性通气功能障碍和肺心病。
总的来讲,脊柱侧凸发生的年龄越低(尤其8~9岁以前发生),侧凸的角度越大,越有可能出现心肺功能损害甚至呼吸衰竭,缩短生存寿命。

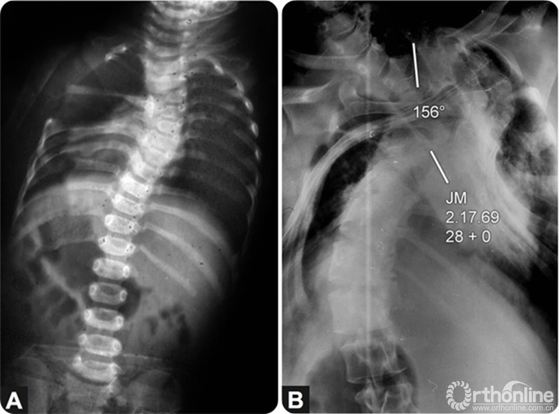
图1:12个月男孩,出生时发现先天性脊柱侧凸,侧凸角度35°;B:该患者未接受任何治疗,到28岁时侧凸角度进展到156°,脊柱胸廓畸形导致严重的限制性肺疾病和呼吸窘迫,患者在拍片1周以后死亡。(Congenital deformities of the spine by Robert B. Winter, Thieme Stratton, New York, 1983)

图2: 3岁女孩先天性脊柱侧凸,侧凸角度40°,未接受任何治疗;B:该患者到9岁时,侧凸角度进展到65°,并且出现下方胸腰段出现45°的代偿性侧弯;C:12岁时胸弯的角度进展到102°,胸腰弯进展到106°。(Congenital deformities of the spine by Robert B. Winter, Thieme Stratton, New York, 1983)
5.脊柱侧凸对青少年(10岁以后)的影响?
脊柱侧凸在青少年期的主要问题是畸形会不断进展,特别当儿童进入青春期(生长发育高峰期)时,侧凸角度可能会以难以控制的速度增加。患儿的直观感觉就是“剃刀背”畸形引起的外观“难看”,以及可能由此带来的心理障碍,焦虑和自卑情绪。当侧凸角度超过70°~80°时,会因胸廓容积减小而损害肺功能,影响呼吸,并使腰背部肌肉非常容易疲劳,产生疼痛。当侧凸角度超过100°~120°时,会因心肺功能严重受损而降低生存质量。


脊柱侧凸在青春期迅速进展(Scott JC, Morgan TH. JBJS Br 1955)

6.脊柱侧凸对成人的影响?
成人脊柱畸形多数由于腰椎退变引起,也可能是脊柱畸形在青少年时期未经治疗而转归到了成人阶段。顽固性的腰痛和因为疼痛而导致的活动能力下降,是成人脊柱畸形的常见表现。少部分患者还会伴有腰椎管狭窄,出现下肢疼痛、麻木,间歇性跛行等神经损害症状。
7.脊柱侧凸有哪些治疗方法?
除了密切观察随访以外,目前几乎所有的循证医学证据都支持使用支具治疗轻度的儿童和青少年脊柱侧凸,采用外科手术治疗进展性的青少年脊柱侧凸和成人脊柱畸形。
8.物理治疗和体育锻炼能够治疗脊柱侧凸吗?
2014年5月美国脊柱侧凸研究协会(SRS)针对物理治疗和功能锻炼在脊柱侧凸中的作用发表了一份公开声明(SRS statement on Physiotherapy Scoliosis Specific Exercises):目前没有任何可靠的证据支持物理治疗和功能锻炼能够替代支具或者外科手术,来治疗进展性的脊柱侧凸。
9.什么时候情况下可以用支具治疗?
青少年特发性脊柱侧凸的角度在20°以内时可以观察,如果侧凸角度在骨骼发育成熟以前达到20°~40°之间,需要佩戴矫形支具。佩戴支具的时间要求每天不低于18个小时,连续佩戴直到渡过青春期,骨骼发育成熟。期间每6~12个月要复查一次X光片,观察脊柱侧凸是否仍然在进展。骨骼发育成熟以后,支具的作用非常有限,不再建议支具治疗。

10.支具治疗的作用是什么?
支具很难矫正已经出现的脊柱侧凸。支具治疗的主要目的,是最大程度减缓侧凸的进展,争取到骨骼发育成熟时,侧凸的角度在45°~50°以内,从而避免外科手术。根据2013年美国国立卫生研究院(NIH)和脊柱侧凸研究协会(SRS)的共同研究结果,72%的患儿能够将侧凸最终控制在50°以内。
11.什么情况下需要手术治疗?
一般来讲,青少年特发性脊柱侧凸的角度如果胸弯超过50°或者腰弯超过40°,就有持续进展的风险。即使进入成人期,侧弯也还是会缓慢加重(每年大约增加2°~3°)。所以对于胸弯角度超过50°或者腰弯超过40°的特发性脊柱侧凸,建议手术治疗。
对于40°~50°之间的胸弯和35°~40°之间的腰弯是否要手术有一定的争议性,需要结合患者的具体情况,如侧弯类型,生长发育潜能等因素综合判断。
12.我现在并没有不舒服,为什么要手术?能否等到生长发育结束或者成年以后再手术?
由于神经损伤的风险始终存在,现有的医疗技术并不能将脊柱侧弯完全矫直。过去十年椎弓根螺钉技术的应用,使脊柱侧凸的手术矫正率由55%提高到了65%~70%。尽管如此,侧弯角度越大仍然意味着手术以后残留的角度也会越大。而在生长发育期间,侧弯会不断进展,并且骨性结构会变得异常僵硬。等到生长发育结束时,大的、僵硬性的侧弯远比小而柔韧的畸形更难矫正,患者将面临更多的手术风险和并发症,最终矫正效果也会差一些。
另一方面,随着侧弯的进展和角度的增大,上下邻近节段的代偿弯曲可能会变成僵硬的结构性弯,那么最终手术时需要固定融合更多的椎体,患者将会失去更多的活动功能。
第三个方面,脊柱侧凸手术后需要长达半年的时间康复。青少年时期的患者恢复更快,手术对学习生活的影响更小。如果等到成年以后再手术,漫长的康复期对家庭和事业影响更大。
所以,脊柱侧凸通常建议在儿童和青少年阶段早期接受治疗。

13.手术的目的是什么?
外科手术的目的是通过内固定和骨融合阻止畸形的进展,同时在安全的范围内尽可能矫正畸形,改善外观。对于青少年来讲,还要尽可能保留腰椎的活动度和保护肺功能。
14.外科手术怎样治疗脊柱畸形?
脊柱畸形的治疗首先是通过内固定矫正畸形,然后通过植入自体骨/异体骨,使畸形部位融合成一个整体(通常需要6~12个月)。只有获得了坚强的融合,才可以阻止畸形的进展。
对于一些低龄儿童的脊柱畸形(9岁以前),如果支具治疗的效果不佳,可以先使用生长棒技术控制畸形的进展,待到10~ 13岁以后再做终末融合手术,这样可以减小长节段固定融合对生长发育的影响。
15.青少年特发性脊柱侧凸的手术风险大吗?
任何外科手术都有一定的风险。根据以往的经验,青少年特发性脊柱侧凸总的手术并发症发生率为5.7%,其中神经系统损伤瘫痪的发生率为0.3%,内固定松动、断裂的发生率为0.6%,骨不融合假关节形成发生率2.8%,伤口感染发生率1.4%,其它并发症如伤口愈合不良,肺部感染,术后肠梗阻,术后侧凸进展等等的发生率约占0.6%,危及生命死亡的情况非常罕见(0.03%)。总的来讲,在一个拥有丰富经验的脊柱畸形专业机构接受手术,是相对比较安全的。
16.影响骨融合的因素有哪些?
治疗脊柱侧凸的最终目的是要获得坚强的骨融合,如果骨不融合,医学上称为假关节,可能会导致内固定松动,断裂,疼痛。影响骨融合的因素有很多,包括年龄,营养状况,身体的内分泌代谢水平,骨质疏松情况,生活习惯,药物影响(尼古丁)等等。糖尿病和吸烟是导致骨不融合的两个重要因素,所有接受脊柱融合手术的患者术前2周和术后1年内必须戒烟。
17.脊柱畸形术后的康复过程?
伤口愈合通常10天左右,手术部位的肌肉水肿和炎性反应需要3到6个月才能完全消退,通常术后6个月,甚至1年才能获得满意的骨融合。
18.脊柱畸形术后需要休息多久?
根据畸形的严重程度和手术方式的不同,术后休息的时间不同。一般情况下3个月内支具保护下活动(通常6周以后可以回到学校上学)。3个月以后逐渐去掉支具,基本恢复正常生活,并可以进行一些轻松的活动,如骑车,游泳,舞蹈等。术后1年基本恢复正常,但以后仍需要避免弹跳性的运动(跳高、跳远等)和激烈的对抗性运动(足球,篮球,摔跤等)。
19.青少年特发性脊柱侧凸手术以后对身高有影响吗?
身高的增加主要靠下肢长骨的生长以及未融合节段脊柱的生长,融合节段的脊柱不再具有生长能力。青少年期,平均每个椎体每年增加1 mm直到生长发育结束,因此青少年特发性脊柱侧凸患者会因为融合手术失去2~4 cm的生长潜力。与此同时,因为手术矫形把脊柱从“弧线”变成了“直线”,手术以后身高会获得即刻增加。2014年美国JBJS杂志的研究资料显示,脊柱侧凸患者的平均身高增加范围是14.5mm~37.9 mm,抵消了固定融合对脊柱生长的影响。因此,脊柱侧凸手术对身高的影响非常小。
20.青少年特发性脊柱侧凸手术以后对活动有影响吗?
青少年特发性脊柱侧凸成功治疗以后,对活动的影响都不大。世界女子高尔夫联赛的冠军史黛西-刘易斯(Stacy Lewis)就是一名特发性脊柱侧凸患者,经内固定融合手术以后仍然继续其职业高尔夫生涯,2011到2014年间6次获得世界女子高尔夫(LPGA)排名第一的成绩。
21.脊柱畸形手术后内固定是否需要取出?
在骨融合以前,内固定的作用是矫正畸形并且将脊柱维持在矫正后的稳定状态,给骨融合提供条件。理论上讲获得坚强的骨融合以后,便不再需要内固定的支撑作用。但长期随访的资料显示,即使脊柱已经融合,内固定取出以后侧弯仍然有缓慢进展的潜在可能。另外,青少年特发性脊柱侧凸患者的内固定取出以后有发生后凸畸形的趋势,所以内固定一般不需要再取出。只有少数患者因为内固定松动,断裂,螺钉部位疼痛,迟发性感染等原因需要将内固定取出。
为了避免内固定发生迟发性感染,患者在术后2年以内进行任何有创性的检查(如各种穿刺操作),或者进行口腔科操作(拔牙等)都需要预防性的服用抗生素。
22.什么时间来院复查?
术后3个月或6个月来院第一次复查,之后的复查时间分别为手术后1年,2年,3年,5年,10年。复查的内容包括:⑴外观照相;⑵脊柱畸形患者评分表;⑶站立位脊柱全长正侧X光片,⑷肺功能检查。少数情况下还需要做CT或MRI检查。
典型病例
















京公网安备11010502051256号