Jump to navigation
学会分会
上传文件
手机版
常见问题
评论排行
返回顶部
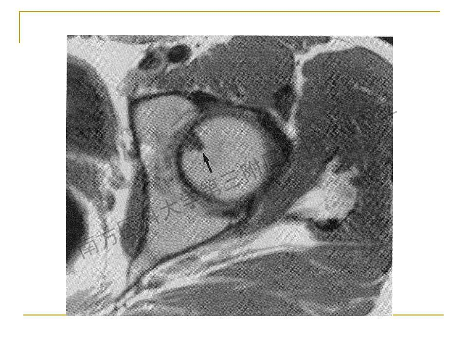
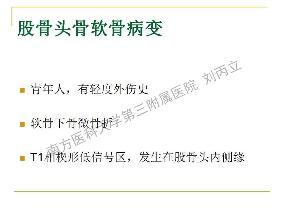
2018-04-03 文章来源:南方医科大学第三附属医院(广东省骨科医院) 刘丙立 我要说
骨科在线 北京经纬在线网络科技有限公司
京ICP备15001394号-2 京公网安备11010502051256号
信息产业部备案管理系统
地址:北京市朝阳区朝阳门北大街乙12号1号楼8层08公寓H
联系电话:010-85615836
Email:orth@orthonline.com.cn