长节段与短节段椎弓钉固定退行性脊柱侧弯的比较

2021-12-29   文章来源:中国矫形外科杂志   作者:王栋梁,邹国友,吴亚,卢坤,王四清 我要说

来源:中国矫形外科杂志2021年第29卷第17期

作者:王栋梁,邹国友,吴亚,卢坤,王四清

单位:江苏省盐城市第一人民医院


摘要

目的:比较长节段与短节段椎弓钉固定老年退行性脊柱侧弯(degenerative scoliosis, DS) 的近期临床效果。

方法:回顾性分析本院2017年6月—2019年12月手术治疗120例DS患者。依据术前医患沟通结果,62例接受长节段融合(长节段组),58例接受短节段融合方式(短节段组)。比较两组围手术期、随访和影像资料。

结果:两组手术均顺利完成,术中均未发生血管、神经损伤等严重并发症。短节段组手术时间、切口长度、术中透视次数、固定节段数、术中出血量、术后引流量和住院时间均显著优于长节段组(P<0.05)。所有患者均随访12 个月以上。与术前相比,末次随访时两组患者VAS 评分和ODI 评分均显著减少(P<0.05)。末次随访时,长节段组的VAS 评分[(1.42±0.86) vs (3.65±1.48),P<0.05] 和ODI 评分[(28.29±4.74) % vs (39.63±4.49) %,P<0.05] 均显著低于短节段组。影像方面,与术前相比,末次随访时两组患者侧弯

Cobb 角、C7 PL 和SVA 均显著减少(P<0.05)。末次随访时,长节段组的侧弯Cobb 角[(18.13±3.82) ° vs (27.53±4.78) °,P<0.05]、C7 PL [(13.47±2.63) mm vs (19.45±3.84) mm,P<0.05] 和SVA [(17.73±2.86) mm vs (29.76±3.85) mm,P<0.05] 均显著小于短节段组。

结论:短节段减压固定治疗具有手术创伤小的优势,而长节段减压固定治疗可有效恢复脊柱的力线及功能。建议依据DS 患者的年龄、耐受度、神经压迫等因素选择固定范围。


关键词:退变性脊柱侧弯,后路脊柱手术,减压融合固定,长节段,短节段



退变性脊柱侧弯(degenerative scoliosis, DS) 是骨骼发育完成后因脊柱发生退行性疾病而引发的脊柱侧凸;此病起病隐匿,主要表现为腰背部疼痛、神经根症状等[1]。近年来,随着人们生活方式的转变及老年人群占比的不断提升,DS 的发病率逐年升高,就诊者多为高龄患者,且伴随较多基础疾病[2]。DS 往往存在迁延难愈的特点,对患者的运动能力及生活质量均产生不利影响[3]。DS 多选取后路椎弓根钉棒系统内固定术进行纠治,可有效抑制脊柱侧凸的恶化并改善矢状面失衡现象。目前减压融合的常见节段范围包括长节段或短节段方式,但目前关于选择的优劣及适应证尚缺乏明确、清晰的临床指南[4]。本研究分别采用长节段与短节段减压融合治疗,并进行安全性与有效性的比较,旨在为临床确定减压融合固定治疗的范围提供依据,现报告如下。


1 资料与方法

1.1 纳入与排除标准

纳入标准:(1) 影像学确诊为DS,且冠状位Cobb 角>10°;(2) 经保守治疗效果欠佳,自愿接受后路椎弓根钉棒内固定治疗;(3) 所有患者及家属均在术前沟通,根据自身意愿和实际病情接受手术方式,并签署知情同意书。

排除标准:(1)存在其他原因引起的骨关节系统疾病史、畸形史或手术史;(2)存在神经系统并发症、精神疾病或恶性肿瘤;(3)因自身原因而无法耐受手术。

1.2 一般资料

回顾性分析本院2017 年6 月—2019 年12 月收治的确诊为DS 患者的临床资料,共120 例符合上述标准,纳入本研究。依据术前医患沟通结果将患者分为两组,62 例接受长节段融合(长节段组),58例接受短节段融合方式(短节段组)。患者术前一般资料见表1,两组患者在性别构成、年龄、体质指数(body mass index, BMI) 和病程的差异均无统计学意义(P>0.05)。本研究通过医院伦理委员会批准备案,所有患者均知情同意。

表1 两组患者一般资料与比较



1.3 手术方法

所有患者均接受全麻、俯卧位。行后正中切口,充分显露相应节段的椎板及关节突。

长节段组:超过脊柱侧凸的上下端椎,分别置入6~7 对椎弓钉。

短节段组:在脊柱侧凸的上下端椎以内,分别置入3~4 对椎弓钉。

影像学检查螺钉部位准确后,按术前影像显示椎管狭窄节段进行相应减压,去除减压节段的棘突及椎板,切除突出的椎间盘,扩大侧隐窝或神经根管,彻底松解神经根,解除压迫。

将预弯双侧棒分别嵌入各椎弓钉尾端“U”形槽内,通过相应的撑开、加压和旋转等技术方法,矫正脊柱畸形,紧固钉棒系统。将切除的椎板等自体骨修剪成骨颗粒,植入主弯段的后外侧。放置引流,逐层闭合切口。

1.4 评价指标

记录患者的围手术期资料,包括不良反应事件。采用疼痛视觉模拟评分法(visual analogue scale,VAS) 和Oswestry 功能障碍指数(Oswestry disability index, ODI) 评价临床效果[6]。行影像检查,测量侧弯Cobb 角、冠状位平衡偏移量(C7 plumb line,C7PL) 和矢状面平衡偏移量(sagittal vertical axis,SVA)等指标[7-8]

1.5 统计学方法

采用SPSS 26.0 统计学分析软件进行数据的统计分析。计量数据以`X±s 表示,资料呈正态分布时,两组间比较采用独立样本t 检验,组内两时间点比较采用配对T 检验;资料呈非正态分布时,采用秩和检验。计数资料采用x2 检验或Fisher 精确检验。等级资料两组比较采用Mann-whitney U 检验。P<0.05 为差异有统计学意义。

2 结果

2.1 围手术期情况

两组手术均顺利完成,术中均未发生血管、神经和内脏损伤等严重并发症。两组患者围手术期资料见表2,短节段组手术时间、切口长度、术中透视次数、固定节段数、术中出血量、术后引流量和住院时间均显著优于长节段组(P<0.05)。切口愈合方面,长节段组62 例中,甲级愈合51 例,乙组愈合6 例,丙组愈合3 例;短节段组58 例中,甲级愈合37 例,乙组愈合12 例,丙组愈合9 例;两组间差异有统计学意义(P<0.001)。短节段组术后发生下肢静脉血栓形成2 例,表现为小腿肿痛,给予抗凝治疗14 d 症状消失。两组患者均未发生深部感染和肺动脉栓塞等严重并发症。

表2 两组患者围手术期资料(`X±s) 与比较


2.2 随访结果

所有患者均随访12个月以上,为门诊随访。术后12~23 个月,腰背局部疼痛加重者短节段组4例,长节段组1 例,影像检查均证实内固定物断裂,再次手术取出内固定物。

两组患者随访结果见表3,下地行走时间短节段组明显优于长节段组,但恢复完全负重活动时间长节段组明显优于短节段组,差异均有统计学意义(P<0.05)。与术前相比,末次随访时两组患者VAS 和ODI 评分均显著减少(P<0.05)。术前两组间VAS 和ODI 评分的差异无统计学意义(P>0.05),但末次随访时,长节段组的VAS 和ODI 评分均显著低于短节段组(P<0.05)。

表3 两组患者随访结果(`X±s) 与比较


末次随访时,长节段组62例中,50例完全无痛,8例行走时轻度疼痛,4例明显疼痛;45例行走正常,无跛行,15例轻度跛行,2例明显跛行;52例下蹲活动正常,6例下蹲活动轻度受限,4例下蹲活动明显受限;48例恢复病前运动和劳动能力,14例未恢复至病前运动劳动能力水平。短节段组58例中,32例完全无痛,15例行走时轻度疼痛,11例明显疼痛;30例行走正常,无跛行,13例轻度跛行,15例明显跛行;34例下蹲活动正常,11例下蹲活动轻度受限,13例下蹲活动明显受限;32例恢复病前运动和劳动能力,26例未恢复至病前运动劳动能力水平。

2.3 影像评估

两组影像测量结果见表4,与术前相比,末次随访时两组患者侧弯Cobb 角、C7PL 和SVA 均显著减少(P<0.05)。术前两组间侧弯Cobb 角、C7PL 和SVA 的差异均无统计学意义(P>0.05),末次随访时,长节段组的侧弯Cobb 角、C7PL 和SVA 均显著小于短节段组(P<0.05)。典型影像见图1、2。

表4 两组患者术前与末次随访时影像测量结果(`X±s) 与比较



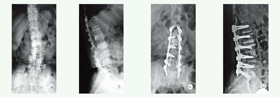
图1 患者,女,64 岁,主诉腰部疼痛及麻木,确诊为DS,接受长节段减压融合治疗

1a, 1b: 术前X 线片显示腰椎侧凸  1c, 1d: 术后X 线片提示侧凸Cobb 角获得明显改善


图2 患者,女,68 岁,主诉腰部疼痛及麻木,确诊为DS,接受短节段减压融合治疗

2a, 2b: 术前正侧位X 线片显示腰椎侧凸  2c, 2d: 术后正侧位X 线片显示侧凸Cobb 角获得部分矫正


3 讨论

近年来,DS 患者的发病率和高龄占比逐渐升高,以脊柱失稳、关节增生及韧带增厚为发病特征,对患者脊柱的生理功能产生较大破坏,长期进展可致瘫痪等后果,严重影响患者的活动能力及生活质量[9]。DS 保守治疗无效,单纯椎管减压的疗效一般,具有较高的再次手术风险,因此目前临床主要采用后路椎弓根钉棒系统内固定术治疗[10]

长节段固定具有较好的矫形效果及稳定性,但治疗过程中可能存在较大创伤[11, 12]。本研究结果表明:短节段组患者的手术时间、术中出血量、融合节段及住院时间均明显低于长节段组(P<0.05)。短节段组患者的不良反应发生率明显低于长节段组(P<0.05)。本次研究验证了Ganesh 等[13] 的研究结论,共同揭示了长节段融合可增加手术创伤,进而具有较高的术后不良反应发生风险。

Katz 等[14]建议,在DS 患者中应用内固定术时应关注适应证,若轻症DS(未出现矢状位失衡) 时应优先选取短节段固定,若重症DS(存在矢状位失衡、顶椎旋转严重) 时应优先选择长节段固定。本研究末次随访时,两组患者的疼痛及功能评分均明显改善,且长节段组患者的改善程度明显优于短节段组(P<0.05)。末次随访时, 两组患者侧凸Cobb 角、CBD 及SVA 等影像学指标均明显改善,且长节段组患者的改善明显优于短节段组(P<0.05)。本次研究与Quinn 等[15]研究一致,分析原因在于长节段固定可充分覆盖病变节段,可有效缓解神经压迫症状,恢复脊柱的稳定性。

本次研究仍存在部分有待完善的问题,包括:(1) 样本量一般,可能存在选择偏倚;(2) 随访时程有限,未对远期预后水平进行随访评价,有待于后续继续改进治疗方法,行进一步长时程、大样本量研究。

综上所述,DS 患者的治疗首选后路椎弓根钉棒系统内固定术。短节段减压固定具有手术时间短、手术创伤小及低不良反应发生率的优势,可有效降低手术风险;而长节段减压固定可有效恢复脊柱的生理性结构及功能,并促进侧弯畸形的改善。因此,建议依据患者年龄、耐受度、神经压迫等多方面行减压融合方式的选择,有待于后续行进一步长时程、大样本量研究及临床推广。


参考文献



分享到: