【综述】颈椎矢状位参数及其在常见脊柱疾病中应用的研究进展
2022-01-10 文章来源:中华医学杂志 作者:韩渤、陈宇翔、海涌、潘爱星、丁红涛、梁伟时 我要说
来源:中华医学杂志, 2021,101(41)
作者:韩渤、陈宇翔、海涌、潘爱星、丁红涛、梁伟时
医院:首都医科大学附属北京朝阳医院
摘要:颈椎结构复杂,存在较大活动度,更容易发生退变、损伤和功能障碍,患者的颈椎矢状位序列与健康相关的生活质量评分息息相关。本综述对颈椎矢状位参数的意义及其在颈椎病、脊柱侧凸、强直性脊柱炎和颈椎畸形脊柱疾病中的应用研究进行全面综述。
颈椎是一个相对复杂且十分重要的脊柱序列,它传递来自颅骨的轴向负荷,保持水平注视,维持正常的头和颈部运动,保护重要的神经血管结构,并且与脊柱其余部分相比颈椎完成最大范围的活动。因此,正常活动的健康颈椎是进行许多日常生活和活动的基础,是维持良好生活质量的重要条件。
现在,越来越多的研究关注脊柱矢状位和冠状位失衡对患者功能和手术满意度的影响。相关研究表明,成年患者的全脊柱矢状位序列与健康相关的生活质量(HRQoL)评分息息相关;同时,也有研究表明颈椎序列的改变会导致严重残疾和功能障碍;此外,成人颈椎畸形与心力衰竭、脑卒中、肾功能衰竭、肺气肿、失明、乳腺癌、前列腺癌一起位于HRQoL评分的后25%。
随着颈椎矢状位序列的研究不断进展,越来越多的学者关注脊柱疾病对颈椎矢状位参数的影响。本综述以“颈椎矢状位”“颈椎矢状位参数”“生活质量”“颈椎病”“脊柱侧凸”“强直性脊柱炎(AS)”“颈椎畸形”“寰枢椎脱位”“脊柱疾病”为关键词检索PubMed、EMBASE、Cochrane、中国知网和万方等数据库,检索时间为从各数据库建立至2021年1月。共检索出中文文献132篇,英文文献91篇。设定文献的纳入标准:(1)目标人群:颈椎病、脊柱侧凸、AS、颈椎畸形、寰枢椎脱位等脊柱疾病患者;(2)测量指标:颈椎前凸、颈椎矢状面轴向距离(CSVA)、颏眉角(CBVA)、T1倾斜角、胸廓入口角(TIA)、颈部倾斜角、C2骨盆倾斜角(C2PT)和脊颅角(SCA)等脊柱矢状位参数;(3)干预:有或未进行手术治疗;(4)文献类型为专著、论文、综述或病例报告。排除标准:(1)重复性研究;(2)无法获得全文的文献;(3)非中文、英文的外文文献。依上述的纳入及排除标准筛选文献,最终纳入文献共35篇,外文文献15篇,中文文献20篇。本文的目的是对颈椎矢状位参数的意义及其在颈椎病、脊柱侧凸、AS和颈椎畸形、寰枢椎脱位脊柱疾病中的应用研究进行全面综述。
一、颈椎矢状位参数的测量及其意义
(一)颈椎前凸(CL)
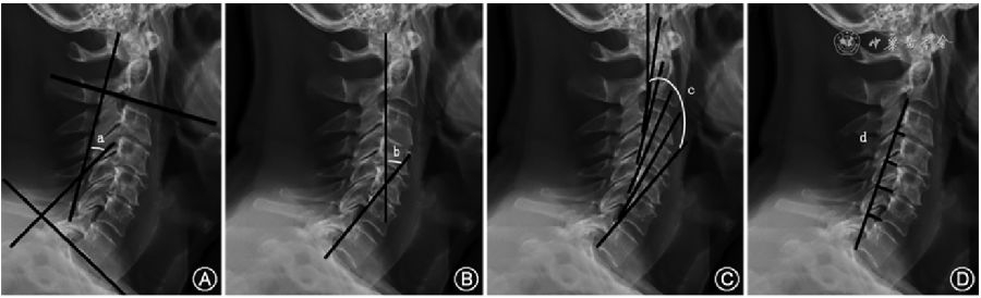
1.CL的测量:测量CL的4种最常见方法包括改良的Cobb方法(mCM)、Jackson生理应力线(JPS)、Harrison后切线(HPT)方法和Ishihara指数(图1A~D)。通过C2法的mCM来获得CL,沿C2和C7下终板绘制两条水平线,分别绘制与前两条线垂直的附加线,两条垂直线所成的角度即C2-7 CL;C1法是从C1的前结节延伸到C1棘突的后缘代替C2的终板作为上参考线来测量C1-7颈椎矢状位Cobb角;用JPS法测量CL时沿C2和C7椎体后壁各画一条直线,这两条直线交角的数值就是CL的测量值。HPT法是从C2到C7所有的颈椎椎体后表面画出平行的直线,然后将所有的节段角度相加得到一个整体的CL角度。Ishihara指数,又称颈椎曲度指数,连接C2的椎体下后端到C7的椎体下后端,从C3、C4、C5、C6椎体下后端分别做垂线,Ishihara指数为4条垂线段的长度和除以C2下后端到C7下后端连线的长度。美国的Janusz等通过对44例患者mCM、JPT和HPT方法的CL测量,认为三种方法均可靠有效,且不同测量者的测量值无明显差异。


2.CL的正常值:CL的正常范围因年龄和性别而异,根据对无症状志愿者的相关研究,成人C1-7 CL平均为41.8°,CL的大部分(77%)发生在C1-2水平,而下颈椎占CL的其余23%。Iyer等通过HPT方法测量对120名无症状成年人进行测量后其提出正常人群C2-7 CL为-12.2°。而对于亚洲人群,韩国的Lee等报告亚洲人群的C2-7 CL平均水平为-9.9°,来自日本长野医院的Takeshita等研究了295例无症状患者的Ishihara指数与C2-7脊柱前凸(使用mCM测量)的关系,提出亚洲正常人群Ishihara指数为10.9,C2-7 CL为-20.3°,Ishihara指数和CL有显著相关性(r=0.95)。
(二)颈椎矢状面平衡
矢状面轴向距离(SVA)可以评估全脊柱整体矢状位平衡,颈椎矢状位平衡可以通过CSVA来评估。C2-7 SVA是过C2椎体中心的铅垂线到C7椎体上终板后端之间的距离(图1E)。头部重心(CGH)-C7 SVA(CGH-C7 SVA)是过外耳道前缘的铅垂线到C7椎体后上角的垂线间距离。Iyer等通过双平面成像系统报告了120例无症状患者的C2-7 SVA平均值为21.3 mm,赵文奎等对132名中国无症状成年人测量C2-7 SVA为(18.67±7.96)mm,CGH-C7 SVA为(22.95±12.18)mm。
(三)T1倾斜角
T1倾斜角是T1椎体上终板的延长线与水平线之间的夹角(图1E),T1倾斜角和CL的关系类似于骨盆投射角(PI)和腰椎前凸角(LL)的关系,因为更大的T1倾斜角需要更大的CL来平衡胸部入口和头部的重量。当T1倾斜角在13°~25°时,机体为保持视线水平,可通过上颈椎过伸过屈代偿颈椎的潜在失衡;当T1倾斜角>25°时,颈椎整体容易前倾,重心前移,在重力的作用下,CSVA增大,颈椎曲度发生后凸趋势,导致颈椎矢状位失衡;当T1倾斜角<13°时,存在负平衡。
(四)颈部倾斜角、TIA
TIA是T1椎体上终板中点到胸骨上缘连线和T1椎体上终板垂线之间的夹角(图1E),Lee等认为胸骨、T1肋骨和T1椎体的固定连接导致胸廓入口相对固定,因此,TIA是一个固定的形态学参数。颈部倾斜角是T1椎体上终板中点到胸骨上缘连线与垂直线的夹角(图1E),在无症状的人群中颈部倾斜角保持在44°左右。TIA在数值上等于T1倾斜角和颈部倾斜角相加之和,可以推测较大TIA者为消耗最小能量而获得颈椎水平注视和矢状排列,则需要相应更大的T1倾斜角,进一步CL相应增加。
(五)CBVA
CBVA是一种间接测量水平视线的方法(图1F),可通过临床大体照和X线侧位片上测量患者眉弓到下颌连接线和过眉弓的垂直线对应的角度来获得,当头向下倾斜时,CBVA为正;当头向上倾斜时,CBVA为负;当头部完全竖立并保持中立时,CBVA为零。2016年Iyer等通过对120名无症状成年人进行分析后,其平均CBVA为-1.7°;Song等研究表明CBVA在10°~20°者可获得最佳的结果,可更好地完成室内外活动。
(六)C2PT和SCA
C2PT是C2倾斜角与骨盆倾斜角之和(图1G),C2倾斜角是C2椎体后缘的平行线和垂直方向的夹角,骨盆倾斜角是由S1上终板中点与股骨头中心的连线和铅垂线相交所形成的角度。C2PT角也可测量C2椎体后缘的延长线与股骨头中心到S1上终板中点的连线的延长线夹角。SCA是C7上终板中点和蝶鞍中点连线与C7上终板连线的夹角(图1G),SCA可表示头部前伸姿势,与颈部肌肉能耗密切相关,正常范围为73°~92°。
二、颈椎矢状位参数在颈椎病中的应用
余文超等研究认为前路椎间盘切除植骨融合内固定术(ACDF)及前路椎体次全切植骨融合内固定术(ACCF)两种前路手术治疗方式疗效确切,均可显著改善颈椎矢状位平衡;从颈椎矢状位平衡的角度考虑,ACDF组患者术后可以获得更大的CL、更满意的SVA和更小的T1倾斜角。林圣荣等发现颈后路单开门椎管扩大椎板成形术后颈椎向前倾斜,机体只能通过上颈椎肌肉持续强力收缩、保持上颈椎过度前凸来代偿,术前较高的T1倾斜角将影响颈椎后路单开门手术的疗效。
更多研究关注颈椎病后路手术相关并发症的危险因素及预防,在颈椎病后路手术术后出现颈椎后凸畸形并发症的研究中,近期有研究表明术前CGH-C7 SVA>42 mm是术后后凸畸形的危险因素。我国田伟院士团队提出C2-7 CL增加>5°时,患者发生术后吞咽困难症状的概率会显著增大(RR=-3.15,P=0.001),C2-7 CL增大与术后吞咽困难的发生存在相关性。
三、颈椎矢状位参数在脊柱侧凸中的应用
脊柱侧凸人群C2-7 CL术前高于正常人群,接受脊柱侧凸矫正术后的患者存在潜在的胸腰椎畸形,胸腰弯的脊柱侧凸患者的C2-7 CL的增加是为了维持脊柱全长序列平衡而出现代偿所致,这些代偿性的颈椎矢状位变化需要与原发性颈椎畸形进行区分。Hiyama等通过对42例脊柱侧凸儿童的颈椎矢状位测量,提出患有脊柱侧凸的亚洲儿童T1倾斜角为11.4°±9.4°,术后T1倾斜角随着胸椎后凸的增大而增大,T1倾斜角增大也会导致CL代偿性增加,所有颈椎参数的变化在术前和术后都局限于下颈椎,而对上颈椎矢状位参数没有影响。
对于特发性脊柱侧凸(AIS),Yanik等通过对接受脊柱侧凸矫形手术的55例AIS患者进行回顾性研究发现术后C2-7 SVA较术前增加,但该变化不具有统计学差异,罗仕干发现AIS患者接受脊柱矫形术后末次随访时C2-7 SVA显著增加。Youn等认为C2-7SVA与AIS患者的SRS-22量表存在相关性,因此,C2-7 SVA可作为一个直接反映AIS患者术后疗效的影像学参数。对于早发性脊柱侧凸,笔者在2020年的前期研究对24例接受生长棒治疗的早发性脊柱侧凸患者进行回顾性研究发现生长棒手术会增加早发性脊柱侧凸患者的CL及T1倾斜角,对于出现近端交界后凸(PJK)的患者应更加关注其颈椎矢状位序列和颈椎矢状位平衡。对于成人脊柱侧凸,T1倾斜角和CL之差超过17°,即便存在胸腰椎畸形也认为合并结构性颈椎畸形,伴有相关C2-7 SVA增加的成人胸腰椎畸形在手术矫正潜在的胸腰椎畸形后可以自发纠正颈椎矢状位失衡。
四、颈椎矢状位参数在AS中的应用
AS是一种慢性进行性风湿性疾病,表现为炎性背部疼痛和僵硬,可最终导致脊柱结构畸形和融合,包括颈椎在内的脊柱所有部位均可受AS累及。研究表明AS患者与正常志愿者在CBVA、C2倾斜角、C2-7 SVA、T1倾斜角有显著差异,C2-7 SVA、T1倾斜角和CL两人群无显著差异。高T1倾斜角和高McGS是AS颈痛的独立影像学危险因素,C2-7 SVA是AS患者生存质量的显著影响因子。南京鼓楼医院钱邦平教授团队研究表明接受经椎弓根椎体截骨术术后的AS患者CBVA(术前25.4°,术后1.3°,P<0.001)和COG-C7 SVA(术前46.2 mm,术后21.6 mm,P<0.001)较术前显著降低。最近的一项研究表明,AS患者术后CVBA在+10°和+20°之间(即轻微屈曲)在室内和室外活动中总体效果最佳。
五、颈椎矢状位参数在颈椎畸形中的应用
临床上通常应用C2-7 SVA>4 cm或颈椎后凸来定义颈椎畸形。颈椎后凸往往会逐步恶化,颈椎结构的失衡会逐渐导致颈部疼痛、进食困难(少数严重的情况下需要鼻饲营养)、无法保持水平视野(直视时)、步态失衡和日常活动受限等严重的功能障碍。Lafage等发现颈椎后凸畸形的过度矫正可能影响患者的日常活动,CBVA在-4.7°~17.7°可获得最低的Oswestry残疾指数,在最大程度上保持中立或略微向下倾斜达到外观和功能相适应。
2015年Ames利用改良的Delphi法通过颈椎外科医生会议提出了一个描述符和五个修饰符组成的颈椎畸形分类系统:描述符根据颈椎畸形的顶点的位置分为C(颈椎)、CT(颈胸)、T(胸)、S(冠状面畸形)和CVJ(颅椎连接);涉及影像学参数和功能评分的C2-7 SVA、CBVA、T1-C2-7 CL、日本骨科协会评分和胸腰椎畸形的SRS-Schwab分类共同组成五个修饰符;Ames提出的分型可以更好地指导颈椎畸形患者的诊断、评估和治疗。
六、颈椎矢状位参数在寰枢椎脱位中的应用
目前,国内外缺乏对于寰枢椎脱位患者的颈椎矢状位测量的研究,更多研究聚焦于寰枢椎后路融合术术后颈椎矢状位改变,术后矢状面失衡可能是引起术后疼痛和功能丢失的原因之一。对于慢性寰枢椎前脱位患者,研究表明寰枢椎融合术可显著改善颈椎矢状位参数C2-7 CL、T1倾斜角、TIA、颈部倾斜角,其中C1-2 CL的改善是患者症状改善相关的独立参数。Zhang等也通过分析颈椎矢状面位参数和临床结果,确定术后C0-2 CL在10°~20°可获得较好的临床疗效和颈椎矢状面序列。然而,2019年我国学者研究表明寰枢椎脱位患者颈椎矢状面参数在后路寰枢椎融合术术前与末次随访无显著改善,但后路寰枢椎融合术后有可能发生C2-7 CL减小,而术前C2-7 CL≥20°是术后下颈椎前凸曲度减小的危险因素。
综上,健康且正常活动的颈椎是进行多项日常活动的基础,是维持良好生活质量的重要条件。颈椎矢状位参数C2-7 CL、CSVA、T1倾斜角、TIA、颈部倾斜角、CBVA、C2PT、SCA是临床上重要的X线颈椎矢状位参数,其在颈椎病、脊柱侧凸、AS、颈椎畸形、寰枢椎脱位脊柱疾病中均有相应变化,不同疾病相关手术后颈椎矢状位参数也会发生相应改变,重视颈椎矢状位参数在疾病诊断意义和手术计划的重要价值,有助于或者术后获得更优质的生活质量和满意程度。
参考文献:略



京公网安备11010502051256号