脊髓型颈椎病患者颈椎节段后凸与脊髓功能损害相关性分析
2022-08-04 作者:吴炳轩等 我要说
作者:吴炳轩 刘宝戈* 崔维 桑大成 肖博威
医院:首都医科大学附属北京天坛医院骨科
脊髓型颈椎病是一种严重颈椎退变性疾病,可导致脊髓功能障碍、严重影响生活质量。退变加重可致颈椎畸形,尤其颈椎后凸常见,在颈椎退变性疾病患者中可达10%-40%。有研究证实包括C2-C7矢状位垂直轴(sagittal vertical axis,SVA)在内的颈椎矢状位力线与生活质量密切相关。也有体外研究证实颈椎后凸可直接压迫脊髓或增加脊髓神经张力。然而临床研究中,对于退变性颈椎后凸是否会导致或加重神经功能损害,尤其多大角度后凸会更容易出现神经功能损害,尚存在争议。现有研究多只针对X线影像上颈椎整体力线或节段角度和临床功能指标进行分析。然而颈椎磁共振的影像学表现,例如脊髓压迫程度和脊髓高信号(increased signal intensity,ISI)也提示较差的脊髓神经功能和预后。为了探索退变性颈椎后凸对神经功能的影响,需要综合分析X线及MRI影像学发现,通过多因素分析,得出更为可靠的结果。
在本研究中,通过对颈椎X线及MRI相关参数综合分析,并根据间盘突出程度进行亚组分析,我们探索了在脊髓型颈椎病患者中退变性颈椎后凸对脊髓神经功能的影响。
一、材料和方法
1. 研究对象
回顾性分析本中心2017年1月至2019年5月期间,因脊髓型颈椎病入院行手术治疗的患者191例。脊髓型颈椎病诊断主要依据患者脊髓神经受损症状、体征并在MRI上证实脊髓压迫存在。排除标准包括:(1)影像或临床功能评分不完整;(2)颈椎外伤、肿瘤、手术史;(3)先天性颈椎分节不良;(4)颈椎后纵韧带骨化。余103例患者纳入本研究。本研究通过了伦理委员会批准。
2. 影像数据采集
颈椎X线:摄片时患者标准直立体位,双肩下垂,听鼻线平行于水平面,左侧身体靠近X线胶片,光束聚焦C4椎体水平,X线管球和胶片的距离是150cm,获得标准侧位摄片。活动度测量选用主动活动度,要求患者尽量弯曲颈部得到前屈位,尽量后伸颈部得到后伸位X线片。所有影像摄片均采用同一台数字放射成像设备。
颈椎MRI:所有颈椎MRI检查均采用3.0T设备,要求患者平卧操作台上,保持头部中立位。扫描包含T1-加权矢状位、T2-加权矢状位及T2-加权轴位。
颈椎CT检查(computed tomography,CT):所有颈椎CT检查均采用64排CT设备,要求患者平卧操作台上,保持头部中立位。
3. 影像学参数分析
所有影像导入影像测量软件。所有影像参数由两位脊柱外科医生间隔2周分别测量2次,2次测量过程中去除患者个人信息。对7项颈椎MRI参数,5项颈椎X线参数进行测量。
3.1颈椎MRI矢状位脊髓压迫比值
依据Fehlings等报道的方法测量颈椎MRI矢状位脊髓压迫比值(compression ratio of the spinal cord,CRS)。分别测得颈椎MRI矢状位,压迫程度最重节段脊髓直径(dc),上方椎体水平非压迫节段脊髓直径(ds)以及下方椎体水平非压迫节段脊髓直径(di)(图1)。其中选择MRI正中矢状位或旁矢状位测量,依据颈椎间盘压迫位置,分为中央型与旁中央型。CRS具体测量公式如下:
3.2 颈椎间盘突出程度
颈椎间盘突出程度依据颈椎MRI矢状位椎管压迫比值(compression ratio of the cervical spinal canal,CRCS)。椎管压迫比值CRCS与脊髓压迫比值CRS测量方法类似,只是前者测量的是椎管整体压迫程度,后者关注的是脊髓本身压迫程度。分别测得颈椎MRI矢状位压迫程度最重节段椎管直径(Dc),上方椎体水平非压迫节段椎管直径(Ds)以及下方椎体水平非压迫节段椎管直径(Di)(图1)。CRCS具体测量公式如下:
之后依据CRCS比值,将患者分为间盘严重突出组(CRCS>30%)及间盘非严重突出组(CRCS≤30%)。
图1.颈椎MRI矢状位脊髓压迫比值和颈椎间盘突出程度的测量方法。颈椎MRI矢状位,压迫程度最重节段脊髓直径(dc),上位椎体水平非压迫节段脊髓直径(ds)以及下位椎体水平非压迫节段脊髓直径(di);压迫程度最重节段椎管直径(Dc),上位椎体水平非压迫节段椎管直径(Ds)以及下位椎体水平非压迫节段椎管直径(Di)
3.3 颈椎MRI轴位脊髓压迫比值
颈椎MRI轴位脊髓压迫比值为在颈椎MRI轴位像上,测量脊髓压迫最重节段前后径与横径的比值(图2)。
图2.颈椎MRI轴位脊髓压迫比值的测量方法。颈椎MRI轴位压迫程度最重节段脊髓横径(AB)与前后径(CD)
3.4 颈脊髓压迫指数
颈脊髓压迫指数是在颈椎MRI矢状位像上测量所得。依据前方间盘及后方黄韧带导致硬膜囊受压程度,对硬膜囊受压比例进行分级,前方和后方分别评-3分(图3)。依据评分结果分为3度(正常/轻度,中度,重度)。其中,中度或重度受压定义为明显受压,记录受压节段数量。
图3.颈椎MRI矢状位颈脊髓压迫指数评估方法。依据前方及后方硬膜囊受压程度,对硬膜囊受压比例进行评估
3.5 髓内高信号(increased signal intensity,ISI)
依据Yukawa等提出的评估方法,进行适当修改后,将受压迫节段髓内ISI被评为三度:度,无高信号;1度,轻度且单节段高信号;2度,重度或多节段高信号(图4A、4B)。
图4.髓内高信号分级(ISI)。A:1度ISI,轻度且单节段高信号;B:2度ISI,重度或多节段高信号
3.6 颈椎矢状位节段角度
颈椎节段后凸角度测量使用Harrison椎体后切线法,此测量方法相较Cobb角法对颈椎后凸的评估更可靠。本研究中,我们尝试探索退变性颈椎后凸对神经功能的影响,Harrison椎体后切线法更直接评估椎体后缘成角而非椎体上下终板交角对脊髓的影响,可能会提高测量结果与脊髓神经功能损害程度的相关性(图1)。分别测量了在颈椎MRI矢状位像上、颈椎侧位X线、过屈位X线及过伸位X线上的颈椎节段角度。本研究中颈椎前凸角度定为负值,颈椎后凸角度定为正值,以°为标准界定颈椎后凸。
3.7 颈椎节段失稳
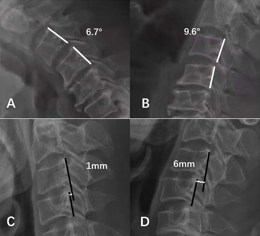
依据White等提出的标准,定义超过3.5mm水平位移或大于11°节段活动度为颈椎节段失稳(图5)。
图5.颈椎节段失稳示意图。A、B:角度失稳,节段活动度16.3°;C、D:位移失稳,节段位移5mm
3.8 Torg-Pavlov比值
利用标准颈椎侧位X线上椎管和椎体矢状径比值得出Torg-Pavlov比值。
4. 临床功能评估
临床功能评估使用视觉模拟评分法(visual analogue score,VAS),颈椎功能障碍指数(neck disability index,NDI)及日本骨科学会(Japanese Orthopaedic Association,JOA)颈椎病评分标准。
5. 统计学分析
采用SPSS 18.0统计软件进行统计学分析。计量资料采用平均数(M)±标准差(SD)表示。独立样本t检验用于比较颈椎节段后凸组与对照组JOA评分。类内相关系数(ICC)用于评价测量者组间和组内一致性。Pearson相关用于各影像学参数与JOA评分之间的相关性分析。单变量线性回归用于量化评估间盘非严重突出组患者中,MRI矢状位节段后凸角度与神经功能的关系。多重线性回归用于分析神经功能损害的危险因素。P<0.05认为结果有统计学意义。
二、结 果
共纳入103名患者,平均年龄59.6±9.9岁(范围25-77岁)。依据颈椎侧位X线角度和颈椎MRI矢状位角度,分别划分为前凸组60人,后凸组43人和前凸组52人,后凸组51人。其中4°以上节段后凸在颈椎侧位X线上和颈椎MRI矢状位影像上分别为24人和23人。
JOA评分在颈椎侧位X线测得的退变性颈椎后凸组中(12.1±2.4 vs. 13.5±2.0, P=0.004)和MRI矢状位像上测得的退变性颈椎后凸组中(12.2±2.5 vs. 13.6±1.9, P=0.001),较对照组均明显减低(表1)。经过亚组分析,排除间盘突出压迫影响后,4°以上后凸组较对照组JOA评分差异更显著(14.2±1.7 vs. 11.1±1.7, P<0.001)。4种不同颈部姿势下测得的颈椎节段角度明显相关(表2)。在颈椎侧位X线和MRI矢状位上颈椎节段角度的测量中,测量者间有良好的组内一致性(ICC=0.93,0.90–0.95;ICC=0.91,0.87–0.94)和良好的组间一致性(ICC=0.90,0.85–0.93;ICC=0.88,0.83–0.92)。
纳入的所有患者中,平均CRS为41.88%(11.17%–77.12%)。严重颈椎间盘突出见于56名患者(54.37%)。ISI评分为1度的患者55名(53.40%),评分为2度的患者30名(29.13%),剩下18名患者(17.48%)无明显ISI。颈椎节段失稳可见于30名患者(29.13%)。
表1.不同颈椎曲度组基线信息和临床功能评分
*P<0.05;VAS:视觉模拟评分法;NDI:颈椎功能障碍指数;JOA:日本骨科学会颈椎病评分标准
表2.四种不同影像上测得颈椎节段角度的相关性
*相关性具有统计学差异
在所有测量的参数中,CRS与JOA评分表现出最强的负相关(r=-0.567,P<0.001)(表3)。在3种不同影像方法测量的颈椎节段后凸角度与JOA评分均呈现负相关,尤其在MRI矢状位上测量的角度呈现最强的负相关(r=-0.429,P<0.001)(表3)。在CRS的测量中,测量者间有良好的组内一致性(ICC=0.90,0.85–0.93)和良好的组间一致性(ICC=0.79,0.71–0.85)。
严重间盘突出会削弱或掩盖其他影像学参数与神经功能损害的相关性。为了更好地分析颈椎节段后凸对脊髓神经功能的影响,我们依据间盘突出程度(严重突出组与非严重突出组)进行分组,行亚组分析。相较于整体入组患者,颈椎MRI矢状位上测得的颈椎节段角度,在间盘非严重突出组中,与神经功能呈现出更高的相关性(r=-0.597,P<0.001与r=-0.429,P<0.001)。通过单变量线性回归,进一步对间盘非严重突出组患者中,MRI矢状位节段后凸角度与神经功能的关系进行量化评估,得出7°(6.6°)颈椎后凸角度是出现神经功能严重损害的阈值(图6)。
图6.颈椎JOA评分与颈椎MRI矢状位节段后凸角度呈负相关,7°(6.6°)颈椎后凸角度是明显神经功能损害的阈值
表3.颈椎JOA评分与各影像参数的相关性
*有统计学意义。mriAngle:颈椎MRI节段角度;fAngle:过屈位X线角节段度;nAngle:中立位X线节段角度;eAngle:过伸位X线节段角度;CRS:颈椎MRI矢状位脊髓压迫比值;CDH:间盘突出程度;CRA:颈椎MRI轴位脊髓压迫比值;CCI:颈脊髓压迫指数;ISI:髓内高信号;cervical focal instability:颈椎节段不稳;NC:颈椎MRI受压迫节段数量
建立两个多重线性回归模型预测神经功能(JOA评分),一个是针对整体入组患者的,一个是针对间盘非严重突出组患者的。其中针对整体入组患者的预测模型中,共筛选出三个危险因素:分别是CRS,节段后凸角度和ISI(R2=0.51,P<0.001);针对间盘非严重突出组患者的预测模型中,共筛选出四个危险因素:分别是CRS,节段后凸角度,ISI和节段失稳(R2=0.73,P<0.001)(表4)。因此,可得出CRS,节段后凸角度,ISI和节段失稳是神经功能损害的预测因素。
表4.颈脊髓神经功能损害的危险因素
颈椎侧位X线上测量C2–C3至C6–C7所有节段角度,可发现31名患者存在4°以上节段后凸,其中12名患者存在7°以上节段后凸,7名患者存在1°以上节段后凸。在这些有节段后凸的患者中,70.97%(22/31)具有4°以上节段后凸的患者,后凸节段顶点同时也是压迫最重的节段,这一数字在7°以上节段后凸的患者中和10°以上节段后凸的患者分别是:91.67%(11/12)和85.71%(6/7)(图7)。“压迫最重节段”的依据参照CRS脊髓压迫比值。
图7.在31名存在4°以上节段后凸角度的患者中,其中22名(4°以上黑色五角星)后凸节段的顶点同时也是颈椎MRI上压迫最重的节段,7名存在10°以上节段后凸的患者中有6名(10°分界以上黑色五角星)后凸节段的顶点同时也是颈椎MRI上压迫最重的节段
三、讨 论
本研究通过对5项颈椎X线影像学参数和7项颈椎MRI影像学参数综合分析,建立多重线性回归模型,得出CRS,节段后凸角度,ISI和节段失稳是神经功能损害程度的预测因素。颈椎脊髓压迫程度越重、节段后凸角度越大、脊髓内高信号、节段失稳均会增加神经功能受损风险。也证实了颈椎节段后凸对神经功能的影响。
Tang等研究结果发现C2–C7 SVA与生活质量高度相关。Mohanty等同样认为C2–C7 SVA与神经功能相关,但C2–C7曲度与神经功能无明显相关。这上述研究中,对颈椎整体力线(C2–C7 SVA)和曲度进行了分析,但都忽略了颈椎节段后凸角度。颈椎节段后凸可能会压迫脊髓产生神经症状,但不额外引起整体力线或曲度的异常。也有一些关于术后出现的节段后凸或者术前后凸残留与神经功能恢复程度的相关研究,但结果并不统一,仍然存在争议。上述研究大多样本量较小,且患者异质性较高,比如肿瘤、感染、外伤等导致的颈椎后凸没有被排除,这些都可能导致研究结果的差异。另外,既往对退变性颈椎后凸与神经功能的相关性研究中,MRI影像学因素多未能纳入考量,而这些因素均与神经功能相关。故研究退变性颈椎后凸对神经功能的影响,不应忽略MRI影响学表现,单纯对X线影像整体力线及整体或节段角度进行分析。
既往有学者利用动物模型,发现颈椎后凸可致神经元凋亡和轴索脱髓鞘改变,这可能是由于颈椎后凸对后方脊髓持续性机械压迫和并减少脊髓血供引起的。我们的研究也发现存在明显退变性颈椎后凸的患者中(大于10°),超过80%的情况下,后凸节段往往也是颈椎磁共振上压迫最重的节段。除了颈椎间盘突出压迫或颈后纵韧带骨化压迫,退变性颈椎后凸也可通过局部形态学改变,对后方脊髓神经的机械产生压迫或牵拉;亦或是通过局部形态学改变,加重原有因间盘或颈后纵韧带骨化产生的压迫。这一发现也再次印证了退变性颈椎后凸导致神经功能损害的潜在病理机制(图8)。因此颈椎局部后凸在术前规划中也应该考虑,并在手术减压同时进行纠正,消除其对神经功能的潜在影响。但是多大后凸角度容易导致神经功能受损呢?
图8.颈椎节段性后凸可能加重脊髓压迫程度示意图。左图显示颈椎间盘轻中度突出,曲度正常时未对脊髓造成明显压迫;右图显示相似程度的颈椎间盘突出,在合并退变性颈椎后凸的情况下,可能会对脊髓造成压迫
既往有学者通过大体研究,测量了在颈椎和胸椎后凸条件下,脊髓髓内压力的变化,发现脊髓髓内压与脊柱后凸角度相关。Chavanne等发现7.5°的颈椎后凸是脊髓髓内压上升的阈值,超过此角度颈脊髓髓内压明显升高。既往在体研究中,尚无明确的颈椎节段后凸角度与神经功能相关性报道。本研究中,我们发现7°以上颈椎节段后凸往往预示着更严重的神经功能损害。
既往研究发现,颈椎MRI检查可以替代颈椎X线检查,用于评估颈椎曲度,尤其是在有颈椎后凸的患者中。本研究中,我们同样发现颈椎MRI测量的颈椎节段角度与X线测量的相应节段角度高度相关,这一发现与既往研究一致。另外,我们还发现,颈椎MRI上和屈曲位X线上测得的颈椎节段角度,相较于中立位X线上测得的节段角度与神经功能相关性更高。我们分析,这可能与现代生活方式相关,现代人们花费更多时间在颈椎屈曲位或平卧位,而非水平直视中立位。所以,如果颈椎节段后凸与神经功能相关,那么一天中所占时间比例相对较高的姿势下测得的节段后凸角度,则可能与神经功能呈现更高的相关性。既往脊柱外科医生更信任先在颈椎X线测量颈椎曲度,然后在颈椎MRI上评估病变和压迫程度。本研究结果显示,在不考虑整体力线的前提下,颈椎MRI可能可以部分替代颈椎X线的角度测量功能。
本研究存在以下不足:一是测量误差,为了减少测量误差,本研究所有影像学参数均由2名脊柱外科医生,间隔2周,分2次进行测量,并对其组间和组内一致性进行分析,结果提示测量者间具有良好的组内一致性和较好的组间一致性。二是尽管本研究共纳入了5项颈椎X线影像学参数和7项颈椎MRI影像学参数,建立多重线性回归模型进行综合分析,寻找神经功能损害相关危险因素,探索退变性颈椎后凸对神经功能的影响。但并非所有神经功能相关因素均纳入了研究,如神经症状出现时间等。之后前瞻性研究,可更完善纳入更多影响因素进一步分析。
四、结 论
在脊髓型颈椎病患者中,脊髓压迫程度、节段后凸角度、脊髓内高信号、节段失稳均是神经功能损害的危险因素。颈椎节段后凸会对神经功能产生不利影响,尤其在不存在明显颈椎间盘突出的情况下,颈椎节段后凸所致的影响更为明显。大于7°的颈椎节段后凸更容易导致严重神经功能损害,大于这一角度的节段退变性颈椎后凸建议在术前计划中予以考虑。另外我们发现,在颈椎MRI正中矢状位上测量颈椎节段角度是可行的。
作者简介
吴炳轩
医学博士,首都医科大学附属北京天坛医院骨科。
专业方向:颈腰椎退行性疾病、脊柱创伤、脊柱畸形、脊柱肿瘤、脊柱微创。
首都医科大学博士研究生毕业,现于首都医科大学附属北京天坛医院骨科从事临床、科研工作。
师从刘宝戈教授,主要研究方向为颈椎。参与3项国家自然科学基金项目、1项国家重点研发计划、1项北京市自然科学基金项目等课题研究,以第一作者发表SCI论文4篇(IF:14.046),中文核心期刊2篇。获2020年华夏医学科技奖三等奖,第六届《中华骨科杂志》论坛脊柱组三等奖,2020年“颈然不同”全国颈椎手术病例大赛一等奖(第一名)。
担任中国医师协会骨科医师分会颈椎学组秘书、中国研究型医院学会颈椎疾病健康管理与加速康复专业委员会委员。
刘宝戈
首都医科大学附属北京天坛医院骨科主任,大外科主任
比利时根特大学医学博士 M.D., Ph.D
主持颈椎方向国自然课题4项
欧洲脊柱学会 (Eurospine) 常委
中华医学会骨科学分会委员(COA)
北京医学会骨科学分会副主委
中国医师协会骨科医师分会委员、颈椎学组副组长
中国医师协会运动医学医师分会常委、脊柱学组组长
中华预防医学会脊柱疾病预防与控制专业委员会常委
中国老年学和老年医学学会老年骨科分会副主委、脊柱学组副组长
《中华骨科杂志》编委
《中华外科杂志》编委
《中国脊柱脊髓杂志》编委
《中国骨与关节杂志》编委