超清多图,讲清UBE治疗腰椎疾病的9大并发症

2023-08-18   文章来源:首都医科大学附属北京同仁医院脊柱外科   作者:包贝西 我要说


单侧双通道脊柱内镜技术(UBE)最早由Antoni于1996年提出。该技术包括两个通道,其中一个用于观察并带有冲洗功能,另一个用于器械操作,旨在提供更广阔的手术视野和更灵活的操作空间。本文将通过实际病例重点介绍UBE在腰椎疾病手术中的并发症,并提供首都医科大学附属北京同仁医院的治疗方案和建议。


图片来源:De Antoni D J , Claro M L , Poehling G G ,et al.Translaminar lumbar epidural endoscopy: Anatomy, technique, and indications[J].Arthroscopy : the journal of arthroscopic & related surgery : official publication of the Arthroscopy Association of North America and the International Arthroscopy Association, 1996, 12(3):330-4.


2017年有文献报道69患者(24男,45女)进行了单侧双通道脊柱内镜技术下腰椎椎间间融合,平均随访时间13.5月,VAS及ODI评分术后显著改善,术后无神经功能损伤。


图片来源:Heo D H , Son S K , Eum J H ,et al.Fully endoscopic lumbar interbody fusion using a percutaneous unilateral biportal endoscopic technique: technical note and preliminary clinical results[J].Neurosurgical Focus, 2017, 43(2):E8.DOI:10.3171/2017.5.FOCUS17146.


UBE的手术适应症:

1、几乎所有节段:颈椎、胸椎、腰椎

2、几乎所有退行性疾病:椎间盘突出、椎管狭窄椎体滑脱

3、占位性疾病(关节突关节囊肿,椎间盘囊肿)



UBE的手术并发症:

神经根损伤

硬膜破裂(2.27%)

术后感染(1/797)

硬膜外血肿(2.27%)

减压不充分(2.27%)

复发(2.27%)

医源性不稳定(0.88%)

术后腹水(0.50%)

类脊髓高压综合征

术后椎间盘囊肿

水介质相关其他并发症:急性水中毒合并高氯血症酸中毒、多裂肌水肿


一、神经根损伤


病例一(轻度神经根损伤)

男,64岁。

主诉:左臀部伴左大腿后侧疼痛4年、加重3个月,间歇性跛行200米。

查体:左侧髂腰肌肌力IV级,左侧膝腱反射亢进。


手术:患者行UBE椎间融合+机器人置钉,左侧入路,术后双下肢麻木麻木,术后持续一个月的时间逐渐恢复。



病例二(重度神经根损伤)

女,34岁。

主诉:双下肢疼痛麻木4年、加重2个月。

查体:双下肢大腿后外侧、小腿外侧疼痛麻木,右下肢直腿抬高阳性。


手术:椎间盘完整切除。


术后:查体胫前肌、踇背伸肌力I级,术后康复锻炼一个月恢复正常。



思考及建议

出现神经损伤的原因:

术中操作不规范

神经根反复牵拉

射频热损伤

建议:

术中轻柔操作,避免牵拉和反复剥离神经根。

对巨大的椎间盘突出,仔细辨别解剖结构。

控制水压,建议去除椎板及黄韧带前水压可适当提高40mmHg,显露神经根及硬膜囊后水压30mmHg。

减少术中出血,预止血。


图片来源:Hong YH, Kim SK, Hwang J, Eum JH, Heo DH, Suh DW, Lee SC. Water Dynamics in Unilateral Biportal Endoscopic Spine Surgery and Its Related Factors: An In Vivo Proportional Regression and Proficiency-Matched Study. World Neurosurg. 2021 May;149:e836-e843. doi: 10.1016/j.wneu.2021.01.086. Epub 2021 Feb 2. PMID: 33540105.


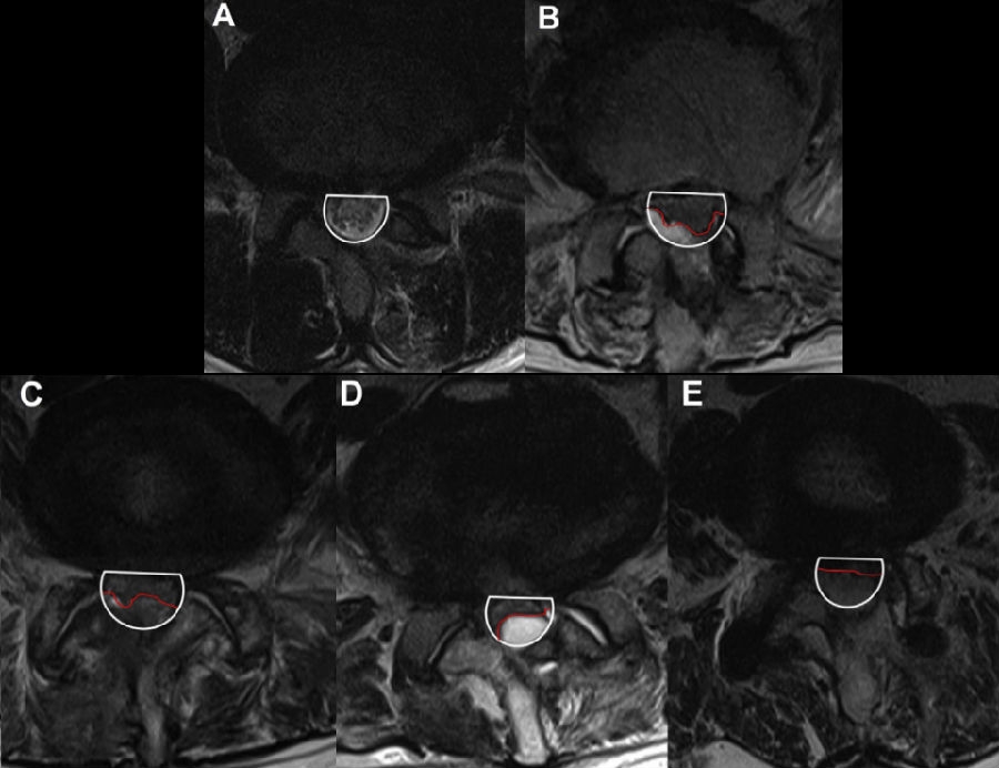
病例三(马尾神经损伤)

男,62岁。

主诉:腰痛伴右下肢疼痛15年、加重1月,间歇性跛行200米。

查体:右侧直腿抬高及加强试验(+)。


手术:L3/4椎板减压+L4/5椎间融合+机器人置钉。


术后:双侧臀中肌腓骨肌无力,会阴区麻木。


术后6周,腓骨肌无力,右踝内翻的状态,右侧臀中肌无力,步行呈现“鸭步”。



思考及建议

出现马尾神经损伤的原因:可能是由于手术器械造成的损伤。



建议:过顶操作应谨慎,并尽可能采用30°镜,同时警惕视野范围外可能出现的器械损伤。


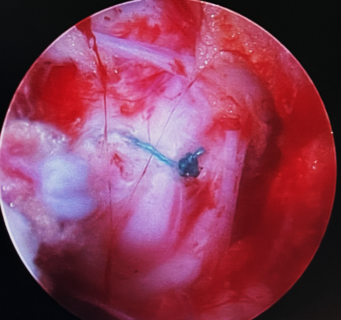
二、硬膜破裂(2.27%)


是常见并发症之一,发生率约2.9%。临床常见表现为头痛,包括直立性头痛、间歇性头痛、用力时头痛、眩晕、颈后疼痛、颈部僵硬、恶心、复视、畏光、耳鸣、视力模糊、脑脊液漏形成、假性脑膜膨出、脑膜炎、蛛网膜炎和硬膜外脓肿等。


图片来源:Lin GX, Huang P, Kotheeranurak V, Park CW, Heo DH, Park CK, Park JY, Kim JS. A Systematic Review of Unilateral Biportal Endoscopic Spinal Surgery: Preliminary Clinical Results and Complications. World Neurosurg. 2019 May;125:425-432. doi: 10.1016/j.wneu.2019.02.038. Epub 2019 Feb 22.


常见原因:

学习曲线早期,经验不足

操作时出血较多易造成视野不清晰

硬脊膜与黄韧带粘连

过度追求完美增加不必要的手术操作


治疗:

硬膜破裂直径<4 mm:保守治疗

硬膜破裂直径 4-12mm:纤维蛋白补片

硬膜破裂直径>12mm:

边缘规则:内镜下修补(钛夹)

边缘不规则: 显微镜下硬膜修补


图片来源:Park Hyun-Jin,Kim Seung-Kook,Lee Su-Chan et al. Dural Tears in Percutaneous Biportal Endoscopic Spine Surgery: Anatomical Location and Management.[J] .World Neurosurg, 2020, 136: e578-e585.


思考和建议:

术中精细操作,避免硬膜囊损伤

钙化的椎间盘及翻修手术谨慎应用UBE

治疗:

损伤较小:紧密缝合

损伤较大:显微镜或通道下硬膜修补


三、术后感染


病例一(化脓性椎间盘炎)

女,57岁。

主诉:腰疼伴右下肢疼痛、麻木2年,加重1年,右侧大腿后外侧、小腿、右足为著。



术后:继发化脓性椎间盘炎,用万古霉素+美罗培南进行治疗。



病例二(化脓性脑膜炎)

女,34岁。

主诉:双下肢疼痛麻木4年、加重2个月。

查体:双下肢大腿后外侧、小腿外侧疼痛麻木,右下肢直腿抬高阳性。

术后:一月出现高热,腰痛,头晕头痛,颈项强直,巴氏征(+),继发化脓性脑膜炎。



思考和建议

手术指征:

穿刺活检无发现或不安全,进行细菌学诊断

保守治疗2-3周临床症状无改善

存在(或进行性)神经功能受损

生物力学不稳定或进展性畸形的发展

临床存在显著的脓肿

建议:

注意术后引流管的管理,警惕逆行性感染

静脉应用抗生素6周且CRP降至正常水平后3周以上


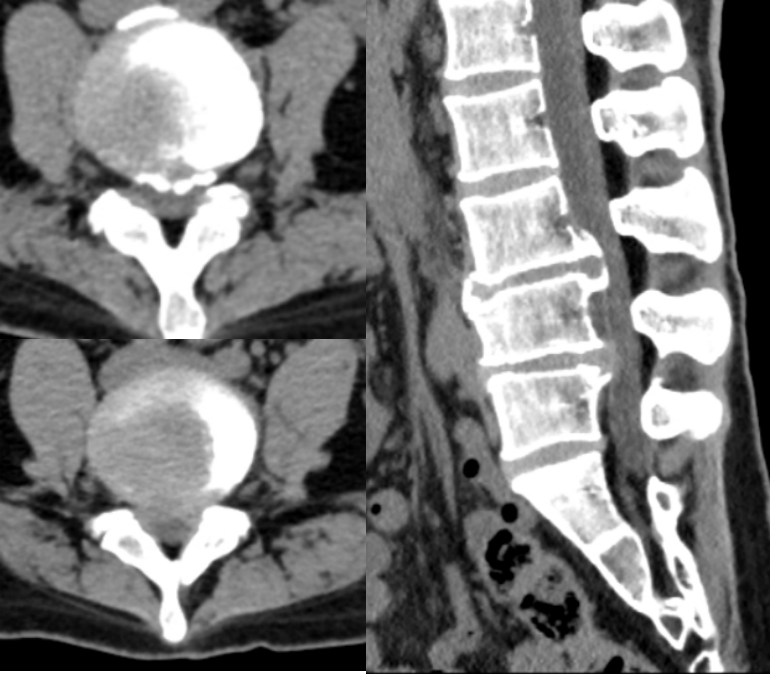
四、硬膜外血肿(2.27%)


具有神经系统症状需要处理的血肿发生率仅为0.6%,通常在术后24h内便会表现出术区的剧烈疼痛,伴随神经根性症状、肌力缺失和感觉障碍。


图片来源:Yi S, Yoon DH, Kim KN, Kim SH, Shin HC. Postoperative spinal epidural hematoma: risk factor and clinical outcome. Yonsei Med J. 2006 Jun 30;47(3):326-32.


椎管内血肿分级:

Grade 0:无血肿

Grade I:占椎管面积<25%

Grade II:占椎管面积25%-50%

Grade III:占椎管面积 50%-75%

Grade IV:占椎管面积 >75%


图片来源:Kim Ju-Eun,Yoo Hyun-Seung,Choi Dae-Jung et al. Effectiveness of Gelatin-Thrombin Matrix Sealants (Floseal®) on Postoperative Spinal Epidural Hematoma during Single-Level Lumbar Decompression Using Biportal Endoscopic Spine Surgery: Clinical and Magnetic Resonance Image Study.[J] .Biomed Res Int, 2020, 2020: 4801641.


术后血肿危险因素:

女性

高龄(年龄>70岁)

围术期应用抗凝药物

术中应用灌注泵


病例

男,64岁。

主诉:腰痛2年、加重伴左下肢疼痛麻木4个月,左小腿后外侧为著。


术后复查



思考和建议:

术前停用抗凝药

术中彻底止血(特别是骨面的出血)

尽量减少骨性结构破坏

放置引流管

避免水压过大(<30mmHg)

一旦出现神经症状,尽早手术(12小时内)


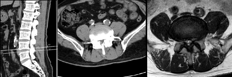
五、减压不充分(2.27%)


减压不充分发生率约为1.4%,术后复发需要再次手术的患者89%是因减压不充分或椎间盘切除不完全所致。


可能原因:

椎间盘钙化或椎间盘高度变窄等

术中出血使视野模糊

术前评估与术中减压范围存在偏差


图片来源:Wu MH, Wu PC, Lee CY, Lin YK, Huang TJ, Lin CL, Lin CH, Huang YH. Outcome analysis of lumbar endoscopic unilateral laminotomy for bilateral decompression in patients with degenerative lumbar central canal stenosis. Spine J. 2021 Jan;21(1):122-133.


病例(减压不彻底,椎间盘残留)

男,73岁。

主诉:腰痛2年、加重伴右下肢疼痛麻木4个月,右足底、小腿后外侧为著。


术后右下肢症状无明显改善


思考和建议

减压区域应达到椎弓根中段,侧隐窝、椎间隙以及椎间孔内部3个区域都应充分减压


六、复发(2.27%)


病例(椎间盘突出复发)

女,42岁。

主诉:腰痛伴左下肢疼痛2月。

查体:疼痛放射至左侧臀部、大腿后侧、小腿后外侧。


思考和建议

完整切除突出的椎间盘

切除的椎间盘为影像学体积150%

视情况缝合纤维环,避免复发



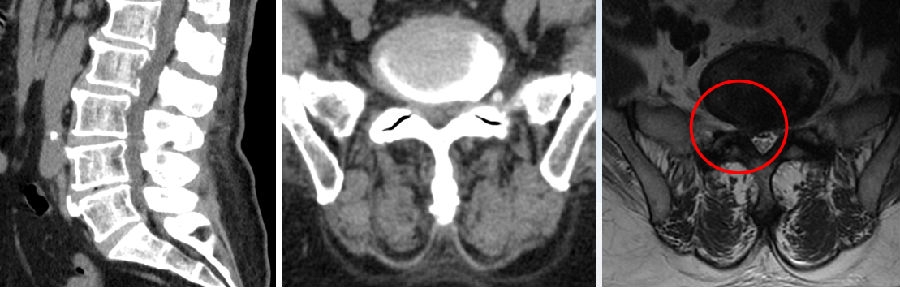
七、术后椎间盘囊肿


病例

男,31岁。

主诉:腰痛伴右下肢疼痛5月,加重2月。

查体:疼痛放射至右侧臀部、大腿外侧、小腿外侧。




思考和建议


八、医源性不稳定(0.88%)


发生率0.6%,明显低于开放式手术,小关节突关节损伤是主要原因。上腰椎(L1~L3)病变、存在狭窄椎板和脊柱矢状面失衡的患者减压过程几率更高。


病例(关节突损伤)

男,52岁。

主诉:腰痛20余年,双下肢疼痛10余年,加重4天。

查体:双侧直腿抬高试验及加强试验(-),双侧膝腱反射及跟腱反射未引出,Babinski征(-)。



思考及建议

使用磨钻从棘突基底部与上椎板下缘交界处切开

术前CT测量关节突切除范围

L3-4及以上节段,对侧入路切除椎间盘



九、类脊髓高压综合征


病例

女,51岁。

主诉:腰疼伴左下肢疼痛麻木4个月。

既往史:椎间孔镜下椎间盘切除术(L4-5)。


术前

术中:术中硬膜破裂,灌洗液压力30mmHg,硬膜破裂后1小时出现血压升高,心率加快,手术持续2小时。


术后:延迟苏醒,拔管困难,转ICU,6小时候拔管神志恢复正常。


术后


思考与建议:

警惕硬膜损伤

全麻下早期表现:血压升高,心率加快

尽快结束手术或中转开放手术

有条件情况下给予硬膜修补

多数患者预后良好


知识点

术中轻柔操作(仔细辨别解剖结构)

水压控制在30mmHg

过顶操作时30O内镜更安全

钙化的椎间盘及翻修手术谨慎应用UBE手术

硬膜破裂(缝合或尽早结束手术)

类脊髓高压综合症(血压高,心率快)

术中彻底止血(骨面出血)

减压前二次确认手术节段(肥胖,L5-S1)

分享到: