临床必备:骨肿瘤和肿瘤样病变的MRI诊断(下)

2023-10-11   文章来源:组稿   作者:骨科在线 我要说


在临床必备:骨肿瘤和肿瘤样病变的MRI诊断(上)的文章中,我们讲解了六种骨肿瘤疾病MRI的读片技巧,本文继续讲解剩余六种骨肿瘤疾病MRI的读片技巧。


七、骨髓瘤


根据受累骨髓在T1WI上的表现分为5种类型:

a.正常型:未见异常信号。

b.弥漫型:T1WI表现为弥漫性低信号,T2WI为弥漫性高信号。

c.局灶型:T1WI呈大小、数目不等,形态不规则的低信号,T2WI为高信号(图7)。

d.混合型:T1WI呈弥漫性低信号背景下可见灶状更低信号灶,T2WI呈不均匀高信号。

e.“盐和胡椒”型:T1WI呈弥漫性斑点状高、低混杂信号,T2WI呈弥漫性斑点状低、等混杂信号。病变破坏骨皮质可形成局部软组织肿块。脊椎受累常发生病理性压缩性骨折,椎间隙正常。可形成椎管内硬膜外肿块,致使椎管狭窄、脊髓受压。

图7 骨髓瘤左侧坐骨呈膨胀性改变,内见等T1稍长T2信号影。


特别提示:

1、骨髓瘤为起源于骨髓网织细胞的恶性肿瘤,单发或多发,多发者占绝大多数。

2、本病40岁以上多见,好发于富含红骨髓的部位,临床表现复杂,可有多个系统的症状。实验室检查有本-周(Bence-Jones)蛋白尿。

3、脊柱、肋骨常发生病理性骨折。

4、多发者需与多发转移瘤鉴别,后者多不伴有骨质疏松。


八、转移性骨肿瘤


转移性骨肿瘤可单发或多发,以多发常见,多见于躯干骨,尤其是脊柱,长骨通常以膝、肘以上好发,其远侧少见。最好发于红骨髓区或骨松质内,表现为形态多样的异常信号影。溶骨性病灶表现为T1WI呈低信号,T2WI、抑脂序列为高信号,增强后有强化。成骨性病灶在T1WI和T2WI上均为低信号,增强后可为轻度强化或无强化。转移性骨肿瘤可伴有软组织肿块,极少有骨膜反应,如合并病理性骨折则可能会有骨膜反应,呈T1WI、T2WI骨皮质外均匀或不均匀低信号长条状影。少数扁骨、骨干囊状膨胀性转移性骨肿瘤,T1WI呈等信号或不均匀信号,T2WI为高信号,周边可见低信号环绕,增强后有强化。脊椎广泛受侵常易并发病理性压缩性骨折,椎旁多可见局限性对称性软组织肿块。椎间隙正常。椎弓根多受侵蚀、破坏(图8)。

图8 转移性骨肿瘤颈3~颈6椎体明显变扁,椎体及附件呈弥漫稍长T1稍长T2信号改变,附件周围可见软组织肿块,增强扫描呈轻度强化。各椎间隙正常,相应节段脊髓受压,呈稍长T2信号改变。颈7、胸1~胸4后半椎体亦见稍长T1稍长T2信号改变,增强扫描轻度强化。


特别提示:

1、转移性骨肿瘤是恶性骨肿瘤中最常见的,常发生在中年后,主要经血行转移。

2、病变常多发,引起广泛性骨质破坏时,血清碱性磷酸酶可增高,这有助于同多发性骨髓瘤鉴别,后者正常。

3、单发者少见,诊断有一定困难,尤其是发生于长骨的溶骨性转移,需与原发性肿瘤鉴别。通常,转移性骨肿瘤病史短、发展快,多无骨膜反应,很少出现软组织肿块,易发生病理性骨折,发病年龄高等有助于诊断的确立。


九、骨纤维异常增生症


骨纤维异常增生症可发生于单骨、单肢、单侧或多骨多发。单骨型多见,好发于四肢骨;躯干骨以多骨型常见。发生于四肢管状骨者病变多始于干骺端或骨干并逐渐扩展,较少累及骨骺。发生于颅骨者常多骨受累。病变形态多样,T1WI上多为低信号,T2WI依含骨小梁、细胞、胶原、囊变及出血等成分的不同,可以是高信号也可以是低信号(图9)。可并发骨骼畸形和病理性骨折。

图9 骨纤维异常增生症胫骨中下段局部膨胀,可见一纵向走行的梭形肿块影,T1WI呈不均匀低信号,T2WI呈不均匀高信号,边界清晰,可见低信号硬化缘。


特别提示:

1、骨纤维异常增生症为正常骨组织被异常增生的纤维组织所代替的一种疾病。

2、好发于30岁以下。发生于四肢骨者可引起肢体畸形,出现跛行或疼痛,侵犯颅骨者表现为头颅或颜面不对称,突眼等,称“骨性狮面”,还可有头痛、鼻塞以及嗅觉、听力和视力减退等神经受压改变。

3、本病可恶变。


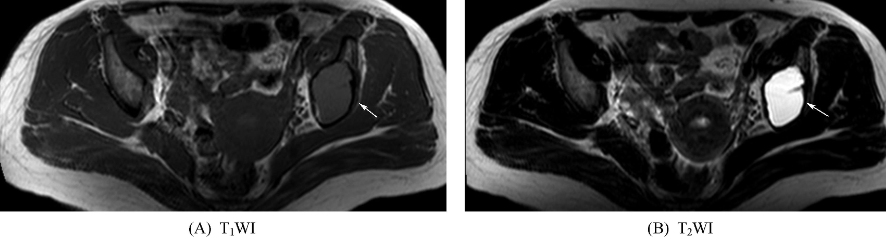
十、骨囊肿


好发于长管状骨干骺端的松质骨或骨干的髓腔内,多位于中心,一般为单囊,少数为多囊。表现为圆形或卵圆形的长T1、长T2信号影,周边可有一低信号的硬化环(图10),增强扫描无强化。邻近皮质可膨胀变薄,但其膨胀程度一般不超过干骺端宽度,病变长轴与骨干平行。一般无骨膜反应。骨囊肿可发生病理性骨折。

图10 骨囊肿左侧髂骨内见类圆形长T1、长T2信号影,边界清晰,见低信号硬化缘。


特别提示:

骨囊肿常见于20岁以下的青少年,一般无明显症状,或仅有间歇性隐痛,好发于长管状骨,尤其是肱骨和股骨上段,扁骨发病多见于成人。


十一、动脉瘤样骨囊肿


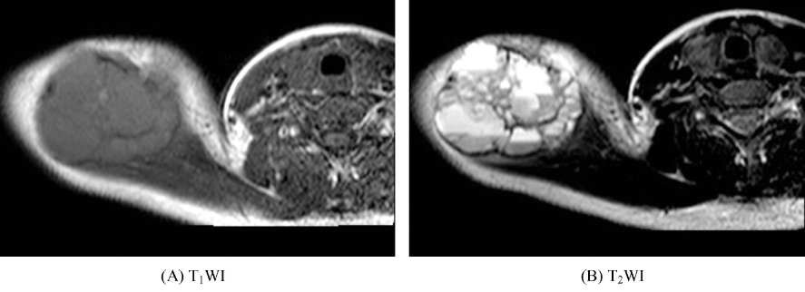
好发于长骨干骺端,表现为囊状膨胀性骨破坏,骨壳菲薄,病变与正常骨交界区可见低信号硬化环,病变内可见多个含液囊腔,并可见液-液平面。囊腔间隔为软组织信号,并可见钙化和(或)骨化(图11)。增强扫描间隔强化。

图11 动脉瘤样骨囊肿


特别提示:

1、动脉瘤样骨囊肿是一种原因不明的肿瘤样病变,大多认为可能是静脉压增高导致静脉窦腔隙扩大,邻近骨质吸收,形成膨胀性骨缺损。

2、多见于10~20岁青少年,好发于长骨干骺端,60%~70%发生于股骨上端、椎体及附件。常偏心性生长。病变长轴平行或垂直于骨干。


十二、嗜酸细胞肉芽肿


好发于颅骨,股骨次之,再次为脊柱、肋骨、骨盆等。表现为边界清楚,单发或多发圆形或卵圆形溶骨性破坏,内为长T1、长T2信号,周围无或轻度硬化,病变穿破骨皮质可形成软组织肿块。可伴有骨膜反应。增强扫描肿块可见强化。发生于颅骨者,多个病灶可融合,病变可跨越颅缝。发生于脊柱者可侵犯单个或多个椎体,椎体呈楔形或平板状(扁平椎),其横径及前后径均超出相邻椎体,相邻椎间隙多正常或稍增宽,椎旁可见局限性软组织肿块(图12)。在长骨,病变多累及干骺端和骨干,极少数累及骨骺。病变部位常有层状骨膜增生,且大多超越骨质破坏范围(图13)。


图12 脊柱嗜酸细胞肉芽肿胸6椎体呈平板状,其上下椎间隙正常,椎体周围可见软组织肿块。


图13 长骨嗜酸细胞肉芽肿左股骨中段髓腔内可见一长椭圆形病变,T1WI为等信号、T2WI为高信号,周围可见层状骨膜反应,软组织略肿胀并可见高信号影。


特别提示:

1、嗜酸细胞肉芽肿为良性局限性组织细胞增生,好发于青少年及儿童,主要表现为骨损害;

2、临床主要症状为局部疼痛、肿胀或肿块。病变大多单发,少数多发者可出现全身症状,如低热、食欲不振和乏力等。本病预后良好,治疗后可修复,也可自愈。


摘自:

[1] MRI读片指南,作者:王书轩,范国光,出版社:化学工业出版社,出版时间:2013-03-01,ISBN:9787122161369.

[2]李迎春.CT检查对良恶性骨肿瘤和肿瘤样病变的鉴别诊断价值[J].中国医疗器械信息,2020,26(20):107-109.DOI:10.15971/j.cnki.cmdi.2020.20.057.

分享到: