病例分享:10个问题解析儿童横纹肌肉瘤的诊治

2023-11-02   文章来源:小儿外科学(第2版)   作者:郑珊,张潍平,夏慧敏 我要说


软组织肿瘤是起源于间叶组织位于软组织内的肿瘤,主要是运动系统的软组织(如肌肉、韧带、骨膜、脂肪、神经、血管等)肿瘤。良性者为瘤,恶性者为肉瘤。儿童常见良性软组织肿瘤包括血管瘤、淋巴管瘤、神经纤维瘤、脂肪瘤和错构瘤等。儿童常见恶性软组织肿瘤包括横纹肌肉瘤、滑膜肉瘤、神经纤维肉瘤、恶性纤维组织细胞瘤和纤维肉瘤等。横纹肌肉瘤(rhabdomyosarcoma, RMS)是来源于原始骨骼肌细胞的恶性肿瘤,是儿童软组织肉瘤中最常见的类型,男女患病比例为1.3:1~1.5:1。RMS可发生在除骨骼之外的任何组织,常见部位有头颈部、躯干、四肢、盆腔、泌尿生殖系统。RMS患儿5年生存率在20世纪90年代末已达70%以上。


主诉:

患儿,女,7岁。于2个月前无明显诱因出现左下肢肿胀,于当地诊所就诊,建议观察。后左下肢肿胀逐渐加重,伴有行走疼痛;洗澡时家长触及下腹部肿块,遂至上级医院就诊。


临床检查:

行CT检查,提示下腹部、盆腔及左侧臀部、股骨周围大片软组织密度影,右侧腹股沟区淋巴结增大。患儿排便、排尿无明显异常。为进一步治疗来医院就诊,门诊以“腹腔、盆腔、左下肢肿瘤”收入院。


【问题1】儿童腹部肿块应考虑有哪几类疾病?

儿童腹部肿块应考虑:

①先天畸形,如胆总管囊肿、肾积水;

②良性肿瘤,如卵巢囊肿、畸胎瘤,淋巴管瘤等;

③恶性肿瘤,如肾母细胞瘤、神经母细胞瘤、RMS等;

④炎性包块。


患儿体格检查与实验室检查:

体格检查:T 36.8℃,HR 105次/min,神志清楚,营养中等,呼吸平稳。全身皮肤、巩膜无黄染,无淤血、瘀斑;腹部膨隆,未见胃肠型,腹壁未见浅表静脉曲张,腹部可触及一实性肿块,肿块质硬,活动度差,无明显触痛。左下肢明显肿胀,无破溃、渗出,右下肢无明显异常。左下肢肌力Ⅱ级,肌张力基本正常,余肢体肌力及肌张力基本正常。正常生理反射存在,病理反射未引出。


【问题2】对于儿童腹部肿块,体格检查时应注意哪些问题?


思路1:

应注意患儿全身营养情况,有无黄疸、有无恶病质表现、有无腹水。


思路2:

应注意肿块的部位、质地、范围、活动度、边界是否清晰,有无触痛,排空膀胱后肿块有无变化,以及肛门指诊情况。该患儿为无痛性实性肿块,范围广,活动性差,触痛不明显,无肠梗阻表现,肛门指诊可及盆底肿块,质地较硬。


【问题3】对于该患儿应进行哪些必要的辅助检查?


除血、尿系列常规检查外,需查血中系列肿瘤标志物及24小时尿VMA,如怀疑神经母细胞瘤需进行骨髓穿刺、超声、CT或MRI检查。


患儿辅助检查:


实验室检查:血常规、肝功能和肾功能、凝血常规及血电解质正常,AFP、CEA、CA125、CA19-9、NSE正常。24小时尿VMA、HVA正常。骨髓穿刺涂片及神经母细胞瘤MRD检测阴性。


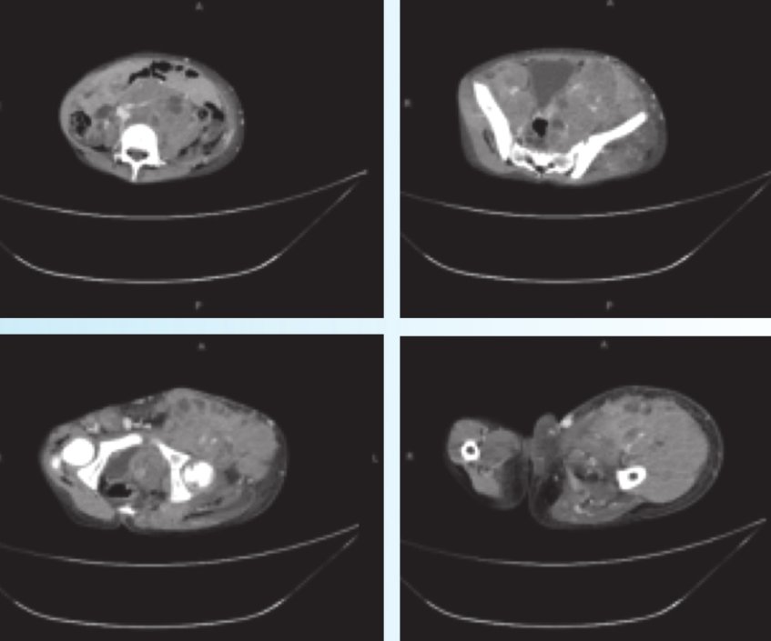
CT(图1):示下腹部、盆腔及左侧臀部、股骨周围见大片混杂密度影,形态不规则,内部见多发囊变坏死区,增强后呈明显不均匀强化。病变包绕血管,直肠和膀胱受压推移,子宫及附件显示不清。周围软组织水肿。左侧髋关节在位,髋关节及股骨形态尚可,未见明显骨质破坏。右腹股沟区多发肿大淋巴结。


图1 腹盆腔横纹肌肉瘤CT图像下腹部、盆腔及左侧臀部、股骨周围大片软组织密度影,符合横纹肌肉瘤改变;右侧腹股沟区淋巴结增大。


【问题4】如何分析辅助检查结果?


思路1:

通过血常规、凝血功能、肝功能、肾功能及血电解质了解肿瘤患儿的全身情况,通过一些肿瘤标志物排除某些特异性肿瘤。超声和CT可了解肿瘤的具体部位和性质。


思路2:

本患儿肿瘤的特点:血AFP(-),血NSE(-)、24小时尿VMA(-),CT提示下腹部、盆腔及左侧臀部、股骨周围大片软组织密度影,符合RMS改变;腹腔主要脏器与肿瘤关系不大,受肿瘤推压。


知识点

不同肿瘤血标志物与相对应肿瘤关系:

血AFP升高:卵黄囊瘤、恶性畸胎瘤、肝母细胞瘤。

血β-HCG升高:绒毛膜癌。

24h尿VMA或血HVA升高:神经母细胞瘤。


【问题5】此时能否对肿瘤的性质作出具体诊断,并提出进一步诊治的思路?


思路1:

仅依靠上述病史、体格检查和辅助检查,首先考虑RMS可能,但尚不能对肿瘤作出明确的定性诊断。


思路2:

如综合分析影像学检查,可完整切除肿瘤者先行手术切除,如无法一期切除肿瘤者,可先进行肿瘤活检术,获得病理学恶性肿瘤的诊断后先行化疗和/或放疗,待肿瘤缩小后再行二期肿瘤原发灶切除术。


知识点

需要与横纹肌肉瘤相鉴别的常见疾病:

外伤:可产生巨大软组织肿块,特别是肢体、面部和躯干。通常有触痛和表面皮肤瘀斑、瘀点,对症治疗有效。

局部炎症:尤其是发生在肢体的早期骨髓炎,抗感染治疗有效。

某些良性肿瘤:脂肪瘤、横纹肌瘤、神经纤维瘤等,需通过影像学和病理检查鉴别。

其他恶性肿瘤:如非霍奇金淋巴瘤、神经母细胞瘤和尤因肉瘤。


治疗过程(手术描述和病理报告)

外科对患儿进行腹股沟区肿大淋巴结活检,切取组织快速冷冻活检提示恶性肿瘤,肿瘤标本病理石蜡报告胚胎型RMS。术后转血液肿瘤科化疗,2个疗程后腹腔、盆腔肿块明显缩小。再行手术探查切除肿瘤。术中见肿瘤为实性,边界不清,肿瘤基底源于盆底,与膀胱底部、腹壁、小肠、结肠、大网膜及附件粘连,膀胱底部、部分肠壁受浸润。分离粘连后将肿瘤近乎完全切除,盆底、膀胱底有肿瘤肉眼残留。术后再转血液肿瘤科化疗和放疗科放疗。


【问题6】RMS常用的分类方法是什么?


RMS常用病理组织学分类和按预后与病理关系分类。


按病理组织学分类:

胚胎型RMS(embryonal RMS):占RMS的53%~64%,好发于眼眶、头颈部、腹膜后、泌尿生殖道等部位。镜下主要由原始小圆细胞或具有中心核与嗜酸性细胞质的梭形或带状的横纹肌母细胞组成,约30%的病例中可看到骨骼肌横纹特征。

腺泡型RMS(alveolar RMS):约占RMS的21%,好发于四肢,组织学表现为偶伴空泡的呈嗜酸性细胞质的小圆细胞、多核巨细胞,罕见横纹,肿瘤细胞群被纤维隔分离形成腺泡结构。

多形型RMS(pleomorphic RMS):约占RMS的1%,儿童少见,好发于四肢。组织学显示为未分化的肌肉组织,含嗜酸性细胞质和多形细胞核的梭形细胞,核分裂象多见,常见横纹,形成束状排列结构。

未分化亚型(undifferentiated subtype):约占RMS的8%,为没有肌肉特异性基因蛋白的亚型。


按预后与病理关系分类:

预后良好型:包括葡萄状和梭形细胞胚胎型RMS。

预后中等型:包括一般胚胎型和多形型RMS。

预后不良型:包括腺泡型和未分化亚型。


【问题7】根据该患儿术前、术中情况,应判断属于RMS的哪一期的临床分期?


该患儿肿瘤应属于RMS临床病理分期Ⅲ期。临床TNM分期T2N1M0期。


知识点

横纹肌肉瘤的两种常用临床分期标准:


IRS分期:

Ⅰ期:局限性病变,肿瘤完全切除,且病理证实已完全切除,无区域淋巴结转移(除头颈部病灶外,需要淋巴结活检或切除以证实无区域性淋巴结受累)。Ⅰa期为肿瘤局限于原发肌肉或原发器官;Ⅰb期为肿瘤侵犯至原发肌肉或器官以外的邻近组织,如穿过筋膜层。

Ⅱ期:肉眼所见肿瘤完全切除,肿瘤已有局部浸润或区域淋巴结转移。Ⅱa期为肉眼所见肿瘤完全切除,但镜下有残留,区域淋巴结无转移;Ⅱb期为肉眼所见肿瘤完全切除,镜下无残留,但区域淋巴结转移;Ⅱc期为肉眼所见肿瘤完全切除,镜下有残留,区域淋巴结有转移。

Ⅲ期:肿瘤未完全切除或仅活检取样,肉眼有残留肿瘤。Ⅲa期为仅做活检取样;Ⅲb期为肉眼所见肿瘤大部分被切除,但肉眼有明显残留肿瘤。

Ⅳ期:有远处转移,肺、肝、骨、骨髓、脑、远处肌肉或淋巴结转移(脑脊液细胞学检查阳性,胸腔积液或腹水及胸膜或腹膜有瘤灶种植等)。注:局部转移指肿瘤浸润或侵犯原发部位邻近的组织。区域转移指肿瘤迁移至原发部位引流区的淋巴结。远处转移多指肿瘤进入血液循环转移至身体其他部位。


临床TNM分期:

T表示原发肿瘤,T1为无浸润,T2为浸润;Ta为肿瘤直径≤5cm,Tb为肿瘤直径> 5cm。

N表示淋巴结,N0为区域淋巴结阴性,N1为淋巴结阳性。

M表示肿瘤转移,M0为诊断时无远处转移,M1为有远处转移。

临床分期:1期,T1N0M0;2期,T2N0M0;3期,T1N1M0;4期,T2N0或N1M1。


知识点:

RMS危险度分组见表1。

表1 横纹肌肉瘤危险度分组,注:*,指同时伴有颅内转移扩散、脑脊液阳性、颅底侵犯或脑神经麻痹中任意一项。


知识点

横纹肌肉瘤的预后及影响预后的因素:

RMS患儿5年生存率为64%,其中年龄<5岁为79%,5~9岁为68%,10~19岁为45%。影响预后的因素如下:

预后良好因素:

①年龄:婴幼儿及儿童;

②眼眶、泌尿生殖系统(除膀胱、前列腺外);

③肿瘤直径≤5cm;

④病理类型为胚胎型、葡萄状或梭形细胞亚型;

⑤Ⅰ、Ⅱ期病例;

⑥首次手术,完整切除肿瘤。


预后不良因素:

①年龄>18岁;

②肿瘤位于头颈部(除眼眶外)、脊柱旁、腹部、会阴及四肢;

③肿瘤直径> 5cm;

④腺泡型;

⑤DNA双倍体;

⑥首次不能完整切除肿瘤;

⑦Ⅲ、Ⅳ期病例;

⑧术后复发病例。


【问题8】RMS常用的化疗药物有哪些?


常用药物有长春新碱、环磷酰胺、阿霉素、放线菌素D、顺铂等。目前认为VCR+ADM+CTX方案是RMS联合治疗的金标准化疗方案,应于术后7日内开始。


【问题9】对RMS如何进行放疗?


RMS对放疗敏感,需根据患儿的肿瘤分期、分组及危险度决定放疗与否及放疗方案。除极少数低危组患儿(1~3期,Ⅰ期,胚胎型)外,均应接受36~50.4Gy剂量的放疗,具体放疗时机及总剂量可根据患儿的病情及正常组织的放射线耐受剂量作个体化调整,但放疗应以最低剂量、最有效作用及对生命与正常组织损伤最小为原则。


【问题10】哪些可作为该患儿预后评估的因素?


该患儿相关预后良好因素:年龄(19个月);胚胎型病理类型。该患儿的相关预后不良因素:肿瘤巨大(直径> 5cm);首次未能完整切除肿瘤;Ⅲ期病例;术后肿瘤复发生长。


知识点

RMS诊疗流程见图2。

图2 横纹肌肉瘤诊疗流程


摘自:小儿外科学(第2版)作者:郑珊,张潍平,夏慧敏,出版社:人民卫生出版社,出版时间:2022-08-01,ISBN:9787117325776.

分享到: