前交叉韧带损伤
2013-08-20 文章来源:国家体育总局体育医院运动创伤外科团队 提供 我要说
骨科在线版权所有,如需转载请注明来自本网站
【诊断】
1.临床表现 急性膝关节前交叉韧带损伤之后往往出现关节肿胀明显,运动能力下降,慢性损伤的患者往往会出现关节错动或者不稳的症状,这种不稳和反复的错动容易引起半月板和软骨的继发损伤。
2.临床体征 可以通过前抽屉试验、Lachman试验和轴移试验进行诊断。Lachman试验的诊断敏感度最高,主要是通过感知胫骨的前向移动度和是否有硬性止点(stiff endpiont)来判定前交叉韧带的完整性。轴移试验主要用于评价膝关节的旋转稳定性。
3.影像学表现:核磁共振成像(MRI)因其有高对比度、高分辨率、无创伤性和多切面成像等优点,成为膝关节交叉韧带损伤诊断的最理想的检查方法(。MRI不仅可清楚显示ACL正常形态,还可显示损伤ACL撕裂部位、范围及合并骨折、半月板撕裂及侧副韧带损伤等情况。

前交叉韧带MRI

图4-4 前交叉韧带损伤MRI
【治疗方法】
前交叉韧带(anterior cruciate ligament,ACL)断裂是一种常见的膝关节损伤。ACL一旦断裂,可导致膝关节不稳,并继发关节内主要结构半月板、关节软骨不可逆的损伤,严重影响关节功能。对于竞技体育的运动员膝关节前交叉韧带损伤导致的关节不稳,将严重的影响体育技术的正常发挥及比赛成绩。前交叉韧带重建手术目前是一种成熟且有效的治疗方式。
手术方法目前主要采用关节镜下的移植重建技术。目前临床应用的移植物包括自体腘绳肌腱、髌腱、股四头肌腱,同种异体肌腱,有些还采用人工韧带等。目前国际上较为流行的重建方式为前交叉韧带的解剖重建。
ACL解剖重建的方法与要点
ACL解剖重建的特点为在ACL的解剖止点中心选择骨道位置,并最大限度的使移植物和原ACL止点的位置相契合。
3.1手术入路的选择
传统上ACL的关节镜入路仅是前内和前外入路。解剖重建时,由于对视野要求更高,因此需要构建新的手术入路。ACL解剖重建常规使用三个入路,前外(LP)、中间(CP)和前内辅助入路(AMP)。前外入路:置于关节间隙以上,紧贴髌腱外侧缘,用以观察胫骨止点,此入路一般置于偏上的位置有利于避开髌下脂肪垫组织。[22]中间入路:置于内侧关节间隙略偏上位置,紧贴髌腱内缘,或者经过部分髌腱组织,可用于全面探查髁间窝外侧壁和AM、PL的股骨止点。前内侧辅助入路:置于内侧关节间隙以上,距离髌腱内侧缘大约2cm,该入路为器械入路,可用于股骨止点的定位和钻取骨道。

右膝关节ACL重建入路位置,前外入路(LP),中间入路(CP)和前内辅助入路(AMP)。

右膝关节屈膝90度,由中间入路进镜,可直接观察到ACL的股骨止点位置,髁间窝外侧壁。
3.2 术中测量
传统的手术重建方式会通过髁间窝成型,胫骨止点后移的方式来解决移植物的撞击问题。很少根据个体的特点来选择重建方式。ACL解剖重建首先要对膝关节内髁间窝宽度和长度、残端直径进行测量,根据膝关节的固有解剖特点,来选择进行双束或者单束重建。根据Freddie H. Fu的经验与理论,进行单束还是双束解剖重建取决于患者膝关节的解剖特点。因此,若进行解剖重建,需要对膝关节内的骨结构和韧带止点进行测量。
首先对ACL股骨和胫骨止点的大小进行测量,(图6)根据尺寸选择进行单束还是双束重建,并帮助选择直径合适的移植物。止点前后径需要如果小于14mm,则不宜选择双束重建,而适合单束解剖重建。

图6:右膝关节屈曲90度,关节镜下使用测量尺对止点进行测量。
另外还需要对髁间窝进行测量,测量指标包括髁间窝的宽度,高度和深度(图)。内侧入路观察宽度的测量结果。根据经验,如果髁间窝的宽度小于12mm,很难将导针从前内辅助入路置于AM束的股骨止点,在钻取骨道时,同时会使钻头破坏内侧股骨髁。因此,如果髁间窝宽度小于12mm,不适合进行双束重建,可以选择ACL单束解剖重建。
针对双束或者单束解剖重建的适应症,除了考虑ACL的解剖结构,还需要了解患者是否有其他合并症。具体说来双束ACL解剖重建的适应症如下:1、ACL胫骨止点前后径>14mm;2、髁间窝宽度>12mm;3、骨骺闭合;4、无严重的骨质破坏和骨挫伤;5、骨性关节炎III度以下;6、无膝关节其他韧带的损伤。
3.3 不进行髁间窝成型
传统ACL重建时,为防止移植物与髁间窝撞击,常常需要髁间窝成型。而ACL解剖重建不要求也不建议进行髁间窝成型。原ACL是在髁间窝内不会撞击,而解剖重建的移植物遵循原ACL起止位置走行,因此也不会产生撞击,所以不要求进行髁间窝成型。同时,髁间窝成型会破坏髁间窝的骨性解剖结构和标志,影响术者选择正确的骨道位置,所以不建议进行髁间窝成型。在ACL解剖重建术中,应尽量避免髁间窝成型,根据髁间窝的大小选择进行单束或双束的解剖重建是符合原ACL解剖特性的手术方式。
3.4 骨道直径的选择
如果移植物采用同种异体肌腱,骨道直径一般是根据原ACL胫骨止点的前后径选择。选择双束重建时,测量出胫骨止点的前后径后,一般需要预留2mm的骨桥宽度,如若止点的前后径是16mm,除去骨桥宽度为2mm,可以选择8mm的作为AM的移植物直径,6mm作为PL的移植物直径。这样能够使移植物最大限度的覆盖ACL的原止点,充分达到解剖重建。
3.5 股骨骨道的选择
镜下观察时须屈膝90度。如果ACL残端存在,首先选择残端的中心作为股骨隧道的中心。双束需要分别选择AM和PL残端的中心定位,单束则选择AM和PL之间的中间点进行定位。如果残端不可见或者止点模糊,则可以根据骨性标志进行定位。双束重建时的骨道位置:住院医师棘以下,AM在髁间窝外侧分叉棘之后,PL在髁间窝外侧分叉棘之前。单束重建的骨道位置:住院医师棘以下,以髁间窝外侧分叉棘作为骨道中心定位。如果骨性标志不清,可以选择在髁间窝外侧壁的下30%-35%进行定位。
传统的ACL重建常以表盘定位法选择股骨骨道位置,但表盘定位不能准确定位股骨骨道位置。表盘定位的原则最初是根据膝关节伸直位时ACL股骨止点在X线上的位置来定位的。但膝关节屈曲和伸直时,AM和PL的相对位置并不一样。完全伸直位时,AM和PL为上下关系,AM偏上,PL偏下;屈膝90度位置时,AM和PL为前后关系,AM偏后,PL偏前。同时,表盘定位适用于二维结构,膝关节髁间窝为三维结构,也就是说,利用表盘法定位时,关节镜下11点的位置可能会对应髁间窝三维结构中的多个位置。因此,表盘定位法在进行双束解剖重建时并不适用。
3.6 胫骨骨道的选择
进行胫骨骨道定位首先要明确ACL残端在胫骨的位置,因此关节镜的前外侧入路尽可能向关节近端,以清楚观察止点位置,选择原止点的位置进行定位钻取骨道。传统胫骨骨道经常定在后交叉韧带(PCL)前方5-7cm与外侧半月板延长线的交点处,解剖重建选择胫骨止点的解剖位置,通常比传统胫骨骨道位置偏前一些。进行双束解剖重建时,选择ACL原AM和PL止点中心进行胫骨骨道定位,进行单束解剖重建时,选择原AM和PL中间的位置进行胫骨骨道定位。
3.7 骨道的钻取顺序
对于单束解剖重建,通常先屈膝120度左右,经前内辅助切口钻取股骨隧道,然后使用55度导向器钻取胫骨隧道。对于双束重建解剖重建,首先经前内辅助切口钻取PL的股骨隧道,然后分别钻取PL的胫骨隧道,AM的胫骨隧道,钻取骨道时PL胫骨端导向器入路的位置在AM骨道的后内方。然后可以选择经PL胫骨骨隧道钻取AM股骨隧道,据统计,在进行ACL双束解剖时,有60.2%的病例可以经胫骨隧道可以达到AM的股骨解剖位置。该方法能避免钻取骨道时损伤内侧股骨髁。如果经PL胫骨隧道不能到达AM股骨隧道解剖位置,则可以利用前内辅助切口膝关节过屈位钻取隧道,90%的病例可以经过前内辅助切口到达AM的股骨解剖位置。固定时,AM束在屈膝45度位固定,PL束在伸膝0度位固定。固定完毕后,在切口关闭之前,务必再次进镜观察确认移植物张力是否合适。
传统ACL单束重建常常采用经胫骨钻取股骨隧道(Transtibial)的方式。屈膝90度位置经胫骨钻取股骨隧道,会使股骨隧道位置偏高,偏离解剖位置,[26,27,28]同时,为避免移植物撞击,通常需要后移胫骨骨道位置,因此,此时移植物角度比解剖重建时更为垂直。研究证明,相比解剖重建,垂直移植物不能很好的限制膝关节的前向位移和控制旋转。

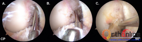
图7:右膝关节屈曲90度,中间入路观察的关节镜示图。该图比较了三种钻取AM股骨隧道的方式:A、经AM胫骨隧道钻取;B、经PL胫骨隧道钻取;3、经前内辅助切口钻取。通过比较,只有经前内辅助切口才能使导针到达AM股骨解剖位置。



京公网安备11010502051256号